Что такое мультифолликулярные яичники?

Мультифолликулярные яичники (МФЯ) являются нормальным состоянием организма. Обнаружить их можно на ультразвуковом обследовании и паниковать или лечить их следует, только в случае присоединения дополнительных симптомов.
Что это?
Понятие обозначает состояние, когда в строме яичника находиться большое количество фолликулов. Правый мультифолликулярный яичник не будет отличаться от левого. В норме созревать начинает до 10 фолликулов, но в конце остается 2-3 доминантных.
Во время овуляции мешок с яйцеклеткой лопается, и она попадает в полость живота, после чего транспортируется в трубу и в случае ее оплодотворения попадает в матку. На месте лопнувшего фолликула формируется желтое тело, выполняющее эндокринные функции. Это поможет развиваться плоду при наступившей беременности.
Диагностика и симптомы
Особых проявлений мультифолликулярности не существует, отсутствует болезненность либо другие изменения в самочувствии. Выявить можно только благодаря нерегулярному циклу или при обнаружении аменореи, из-за которой месячные могут отсутствовать от 6 и более месяцев.
Мультифолликулярные яичники часто путают с поликистозом. При последнем в полости яичника находиться более 10 созревших мешочков, только их структура отличается от нормы. Фолликул перерождается в кистозный пузырь, заполненный жидкостью и утолщенный к середине.
Обнаруживают изменения в организме зачастую при прохождении планового УЗИ или на осмотре у гинеколога, который фиксирует увеличение яичников. МФЯ не является диагнозом и считается нормой, не требующей лечения. При обнаружении дополнительных симптомов назначают обследования на выявление проблем с эндокринной системой.
Причины
Зачастую причиной развития патологий в женских репродуктивных органах является нарушение работы эндокринной системы либо нарушение гормонального фона. Гормональными можно назвать:
- Прием гормональных контрацептивов, суть работы, которых блокировка развития фолликул и прекращение овуляции.
- Изменения гормонального фона в связи с беременностью и кормлением грудью.
- Прерванная беременность.
- Половое созревание в подростковом возрасте.
- Резкое изменение веса в любую сторону.
- Эндокринные нарушения.
- Продолжительный стресс.
- Генетическая предрасположенность.
Мультифолликулярная структура яичников изменяется из-за недостаточной выработки, передней долей гипофиза, лютеинизирующего гормона (ЛГ). Он активирует овуляцию во 2 половине цикла. А также он ответственен за выработку прогестерона.
Когда вырабатывается недостаточно ЛГ, активно поступать начинает фолликулстимулирующий гормон (ФСГ), он и провоцирует созревание большого количества мешочков с яйцеклеткой. При созревании нескольких фолликул в организм попадает много эстрогена, который замедляет переход ко второй фазе менструального цикла, а иногда и вовсе приводит к отсутствию овуляции.
Лечение
Лечение следует назначать, только в случае обнаружения патологических изменений: нарушении баланса гормонов; нерегулярных месячных; отсутствии овуляции на протяжении 5 месяцев, которое подтверждено анализами.
Медикаментозное лечение может назначить только специалист, отталкиваясь от результатов пройденных обследований. Самолечение запрещено и, скорее всего, навредит, а не решит проблему.
Рекомендации:
- Когда причиной мультифолликулярных яичников является прием оральных контрацептивов, их стоит отменить и наблюдать за состоянием.
- Провести коррекцию баланса гормонов, что будет способствовать выделению доминантных фолликулов и наступлению овуляции.
- Контролировать вес и не допускать его резких изменений. При необходимости назначить лечебную диету и умеренные нагрузки.
- Не подпадать под влияние стрессовых ситуаций и сильных перенапряжений.
Народные средства лечения
- Прием успокаивающих фитопрепаратов, для снижения стресса и скорейшего выздоровления.
- При сильных кровопотерях можно использовать сборы трав из руты, зверобоя, гусиной лапчатки, можжевельника, фенхеля.
- Для нормализации работы гипоталамуса применяют перечную мяту, березовые листья, кору крушины, корень валерианы, тысячелистник.
Такое лечение может назначить только доктор.
Возможно ли наступление беременности?
Когда беременность при мультифолликулярных яичниках уже наступила, то она не требует дополнительной корректировки гомонов ДЕГА и 17-ОН прогестерона, которые могут спровоцировать выкидыш.
Если существует сложность с наступлением беременности, то проблема состоит в нерегулярной овуляции, которая дает возможность пробовать забеременеть в каждом менструальном цикле. Решить ее можно при помощи регуляции гормонального баланса и стимуляции роста доминантного фолликула.
Бывает, что исправление гормональных проблем не приводит к желаемому результату. В таком случае можно обратиться к гинекологу-репродуктологу. Он в начале цикла назначит с определенной периодичностью уколы, стимулирующие развитие мешочка с яйцеклеткой.
Каждые два дня потребуется проходить УЗИ-диагностику, позволяющую проследить за реакцией яичников на введенные препараты.
При достижении зрелости доминантным фолликулом, делают инъекцию хорионического гонадотропина человека (ХГЧ). Это поможет разорваться мешочку и выпустить яйцеклетку, которая в дальнейшем транспортируется в фаллопиеву трубу, где произойдет оплодотворение.
Но также следует учитывать:
- При стимуляции созревает сразу несколько фолликул, которые за сутки могут лопнуть.
- Этот процесс может происходить сразу в двух яичниках, и овуляция произойдет одновременно. Поэтому перед процедурой специалист должен предупредить женщину о возможном наступлении многоплодной беременности.
Коррекция баланса гормонов
Излечить мультифолликулярные яичники навсегда не представляется возможным, но с помощью корректировки гормонов, возможно, добиться регулярного наступления овуляции в каждом месячном цикле. Это даст возможность забеременеть и наладить цикличность менструации.
Обязанности по исправлению гормонального фона должен взять на себя доктор гинеколог-эндокринолог. Его задача состоит в правильном воздействии на каждый гормон, участвующий в репродуктивной функции. Женщины с таким заключением имеют похожие проблемы:
Низкий уровень эстрадиола. Его исправить можно с помощью фитоэстрогенов или синтетических аналогов этого гормона. Он способен быстро воздействовать и приводить к желаемому результату начиная с цикла, в котором начат прием. Когда первая фаза цикла затянулась, препараты помогут созреть доминантному фолликулу и уплотниться эндометрию.
- Низкий уровень прогестерона, исправляется с помощью искусственного аналога, который следует принимать во второй фазе.
- Большой уровень тестостерона. Тяжело поддается лечению, понадобиться несколько циклов для приведения показателей в норму. Натуральные препараты практически бездейственны, поэтому специалисты назначают сильнодействующие лекарства, дозы которых требуется подбирать с особой осторожностью.
При удачном лечении женщина сможет забеременеть и выносить здорового малыша и мультифолликулярность не станет помехой. Однако, после родов проблема может вернуться и если возникнет желание родить еще раз, придется повторить лечение.
Источник: https://zen.yandex.ru/media/healthmatka/chto-takoe-multifollikuliarnye-iaichniki-5cd50d2a0ae27d00b35ec190
Мультифолликулярные яичники: Что это, причины и лечение

Нередко у женщин при проведении ультразвукового исследования обнаруживаются мультифолликулярные яичники. Это состояние не является патологией, и может возникать на фоне полного здоровья.
Тем не менее, это можетбыть следствием заболеваний, которые сопровождаются нарушением гормональногофона. Поэтому при выявлении наличия мультифолликулярных яичников женщинеследует обратиться к врачу. После прохождения дополнительного обследованиядоктор решит, целесообразно ли проведение лечения.
Мультифолликулярные яичники — что это значит?
Мультифолликулярными яичниками называют железы, в которых за каждый менструальный цикл образуется от 8 до 10 пузырьков с яйцеклетками. Такое количество фолликулов может отмечаться в норме. Примерно у 25% женщин репродуктивного возраста отмечается это состояние при отсутствии какой-либо патологии.
Мультифолликулярный яичник
Особенности формирования фолликулов
Процесс созревания фолликулов происходит вместе с менструальным циклом женщины, который в среднем длится 28 дней. Он включает в себя несколько этапов:
- В начале цикла образуется несколько фолликулов с яйцеклетками внутри;
- Они постепенно увеличиваются в размерах. Однако один фолликул (доминантный) развивается быстрее и тормозит рост остальных;
- После созревания фолликул разрывается, из него выходит яйцеклетка и попадает в полость маточной трубы;
- Внутри формируется желтое тело, которое при развитии беременности вырабатывает необходимые гормоны;
- Если оплодотворения яйцеклетки не наступает, менструальный цикл повторяется.
При отсутствии патологий за каждый цикл образуется от 4 до 7 фолликулов.
Мультифолликулярные яичники — причины возникновения
У здоровых женщин признаки этого состояния могут определяться в первые 7 дней цикла. Поэтому проведенное в этот период ультразвуковое исследование считается неинформативным. Чаще всего МФЯ носят физиологический характер. Наиболее распространены причины мультифолликулярных яичников следующие:
- Прием гормональных препаратов. Комбинированные оральные контрацептивы тормозят овуляцию. Образующиеся при этом яйцеклетки не достигают зрелости и остаются. До тех пор, пока женщина не перестанет принимать контрацептивы, будут определяться мультифолликулярные железы;
- Переходный возраст. Изменение гормонального фона, которое наблюдается в возрасте 15-16 лет, приводит к перестройке половой системы девушки. В этот период могут образовываться множественные фолликулы, которые полностью не дозревают. Из-за того не каждая менструация сопровождается овуляцией. Такое состояние длится до тех пор, пока не закончится пубертатный период, после этого функция яичников нормализуется;
- Генетическая предрасположенность. У некоторых пациенток может образовываться несколько фолликулов при нормальном гормональном фоне. Такое явление связано с генетическими особенностями и может наследоваться;
- Недостаточная функция гипофиза. При снижении выработки лютеинизирующего гормона нередко отмечается наличие множественных фолликулов;
- Быстрая потеря веса. В выработке эстрогенов участвует жировая ткань. При быстром снижении массы тела эндокринная система женщины не успевает перестроиться. Из-за этого может отмечаться временное нарушение гормонального фона, который приводит к появлению мультифолликулярности. У молодых девушек со сниженной массой тела это явление часто свидетельствует о половом инфантилизме, то есть недоразвития;
- Стресс и психоэмоциональное перенапряжение. Эти факторы также оказывают влияние на эндокринную систему пациентки;
- Лактация. В период кормления грудью отмечается повышение уровня пролактина, который оказывает тормозящее действие на овуляцию;
- Различные заболевания эндокринной системы – патологические процессы щитовидной железы, сахарный диабет, болезни надпочечников.
Гипо́физ
Признаки мультифолликулярных яичников
Как правило, в большинстве случаев мультифолликулярные яичники никак себя не проявляет. Если это состояние связано с какой-либо патологией, могут появиться следующие симптомы:
- Тянущие боли внизу живота;
- Длительное отсутствие менструаций (до полугода);
- Увеличение выработки секрета сальными железами, появление угревой сыпи на лице;
- Изменение тембра голоса;
- Увеличение массы тела.
Причины тянущих болей в низу живота при овуляции здесь.
При появлении каких-либоиз перечисленных выше симптомов следует обратиться к врачу и пройтиобследование.
Диагностика патологии
Чаще всего женщины с МФЯ обращаются к врачу из-за нарушения менструального цикла, отсутствия овуляции. Таким пациенткам назначается ультразвуковое исследование половых желез, анализ крови для определения уровня половых гормонов.
Обычно такого обследования достаточно для постановки диагноза. Наибольшее значение играет определение наличия или отсутствия поликистоза .
Важно понимать, что единичное ультразвуковое исследование не должно быть причиной для постановки окончательного диагноза.
Половые железы реагируют на любые изменения во внешней среде и организме женщины (переохлаждение, переутомление, стресс, различные заболевания и т.д.), что нередко приводит к изменению их функции.
Из-за этой особенности часто второе УЗИ, проведенное в следующем цикле, дает отрицательный результат. Поэтому для постановки окончательного диагноза «мультифолликулярные яичники» необходимо длительное наблюдение пациентки, неоднократное ультразвуковое исследование.
Важно! В большинстве случаев мультифолликулярные яичники у пациенток обнаруживается случайно при прохождении УЗИ. Обычно такие железы имеют обычные размеры, их капсула не изменена. Количество пузырьков не превышает 10, диаметр их колеблется от 4 до 8 мм.
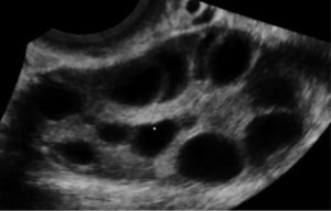
Эхопризнаки мультифолликулярных яичников
Врач ультразвуковой диагностики при проведении ультразвукового обследования без труда определяет МФЯ. Их основные эхографические признаки мультифолликулярных яичников:
- Размер яичников незначительно превышает норму;
- Эхогенность (способность ткани по-своему отражать ультразвуки) у яичников меньше, чем у матки;
- Множественные (более 20) антральные фолликулы (структуры с высокой вероятностью дозревания), их размер не превышает 9 мм;
- Доминантный фолликул не имеет утолщенной капсулы;
- Расположение антральных фолликулов диффузное (разбросанное).
Мультифолликулярность и поликистозность на узи
Мультифолликулярная структура яичников
Мультифолликулярная структура яичников подразумевает 12 созревших фолликулов вместо допустимых 7, что очевидно на снимке УЗИ. Симптомы такой патологии, как правило, отсутствуют, а открывается проблема при прохождении полной компьютерной диагностики для определения причины отсутствия беременности.
В современной медицинской практике синдром МФЯ может считаться физиологической нормой и вовсе не свидетельствовать о присутствии патологического процесса. Однако также не стоит исключать те клинические картины, где такое строение органа может быть причиной опасного для женского здоровья поликистоза яичников и полного гормонального дисбаланса.
Мультифолликулярные яичники и поликистоз в чем разница
Поликистозом называют заболевание, при котором в яичнике образуется множество кист – полостей, заполненных жидкостью. Это опасное патологическое состояние, поэтому врач должен проявлять бдительность, чтобы не спутать мультифолликулярные яичники и поликистоз.
Подробнее о поликистозе здесь.
Поликистоз имеет отличительные черты:
- Количество пузырьков превышает 10;
- Их диаметр может достигать 10 мм;
- Кисты чаще располагаются на периферии органа;
- Они имеют плотную капсулу;
- Чаще в патологический процесс вовлекаются оба яичника;
- Отмечается значительное увеличение их в размере.
Женщина при этом может отмечатьнарушение менструального цикла, отсутствие или изменение времени появлениякровотечений. При поликистозе овуляция невозможна, поэтому беременность приэтой патологии исключена.
Заподозрить синдром поликистозных яичников можно по характерному внешнему виду пациентки – увеличения массы тела, огрублению голоса, акне и угревой сыпи.
Для точной диагностики проводится ультразвуковое исследование. Важен так же анализ крови на уровень половых гормонов:
- Андрогенов;
- Лютеинизирующего;
- Фолликулостимулирующего.
Андроге́ны
Мультифолликулярные яичники — как забеременеть?
Для молодых женщин, у которых были обнаружены мфя, важно знать, можно ли забеременеть при мультифолликулярных яичниках.
Тем пациенткам, у которых за год происходит около десяти овуляций, не нарушен менструальный цикл, не о чем беспокоиться.
Для зачатия нужна только одна яйцеклетка, которая выйдет из доминантного фолликула, а количество дополнительных антральных пузырьков не имеет значения.
Мультифолликулярный и поликистозный яичник
В случае поликистозаяичников вероятность беременности очень низка. Не более 15% пациенток могутспонтанно забеременеть, при этом у них всегда есть риск выкидыша из-за гормональногодисбаланса. У остальных 85% женщин с этой патологией овуляция отсутствует,поэтому беременность без проведения специальной терапии у них невозможна.
Стимуляция овуляции при мультифолликулярных яичниках
Когда размер антральных пузырьков уменьшится, женщине назначают стимуляцию овуляции. Популярным препаратом, используемым с этой целью, является Клостилбегит. Стимуляция овуляции при МФЯ непростая задача.
Нужно подобрать, прежде всего, терапевтическое окно, чтобы получить желаемый результат.
Необходимость проведения стимуляции в специально предназначенной для этого клинике с большим опытом подобных процедур обусловлена высокой степенью вероятности развития синдрома гиперстимуляции яичников.
Антральные пузырьки
Мультифолликулярные яичники и беременность
Несмотря на то, чтомультифолликулярные яичники не препятствуют зачатию, это состояние можетоказывать негативное влияние на процесс вынашивания ребенка.Если изменения в железахбыли обнаружены во время беременности, необходимо провести обследование для своевременноговыявления возможных гормональных нарушений.
Наибольшую опасность длявынашивания ребенка представляет недостаток прогестерона. Пока не сформированаплацента, этот гормон вырабатывается желтым телом. Затем она сама начинаетпродуцировать прогестерон.
Плод воспринимаеторганизмом женщины как инородное тело, которое он стремится удалить из полостиматки. Прогестерон подавляет сократительную активность этого органа, благодарячему сохраняется беременность. Также это вещество способствует росту матки,созреванию молочных желез и подготовке их к лактации.
Недостаток прогестерона,который отмечается при наличии мультифолликулярных яичников, повышает рискпреждевременного прерывания беременности. Если пациентка наблюдается угинеколога, проходит все необходимые обследования, вероятность таких осложненийминимальна.
Мультифолликулярные яичники — лечение
Как лечить мультифолликулярные яичники? О необходимости проведения терапии, решает врач в зависимости от причины, вызвавшей появления множественных фолликулов. Лечение показано, если данные ультразвукового исследования оказываются положительными на протяжении двух-трех менструальных циклов.
Так какмультифолликулярные яичники сами по себе не являются патологией, они не требуюттерапии. Лечебные мероприятия должны быть направлены на устранение причиныэтого состояния.
Чаще всего это требует коррекции уровня лютеинизирующегогормона, который стимулирует овуляцию.
Для этого врач индивидуально подбираетпрепараты в зависимости от особенностей пациентки, основываясь на данныхлабораторных исследований.
Фолликулометрия
Если мультифолликулярныеяичники обнаружены у подростка, менструальный цикл не нарушен, лечение нетребуется. То же касается и случаев, когда женщина принимает оральные контрацептивы.Достаточно регулярного наблюдения у гинеколога, при необходимости – прохожденияобследования.
Фолликулометрия: Что это? На какой день делают фолликулометрию?
Лечение назначается в случае если при проведении диагностики был выявлен поликистоз. Терапия проводится при помощи гормональных препаратов – оральных контрацептивов. Прежде всего необходимо снизить активность половых желез.
По прошествии 3-6 месяцев проводят повторное обследование.Если оно покажет уменьшение размеров антральных пузырьков, пациентке назначают препараты, стимулирующие овуляцию (например, Клостилбегит).
Далее применяют лекарства, которые повышают уровень прогестерона.
Если после проведения консервативной терапии не отмечается уменьшения кист, показано хирургическое вмешательство. Операция заключается в удалении пораженной части. После этого продолжают лечение гормональными препаратами, проводят регулярное обследование пациентки.
Источник: https://Ovulyaciya.com/ovulyaciya/multifollikulyarnye-yaichniki
Мультифолликулярные яичники — причины и симптомы заболевания

Мультифолликулярные яичники (МФЯ) – это состояние, при котором в яичнике одновременно созревает больше фолликулов, чем обычно. Это расстройство очень распространено в гинекологии, и оно диагностируется у каждой третьей женщины на УЗИ.
Как возникает заболевание яичников
Обычно за один менструальный цикл в яичнике созревает от 4 до 7 фолликулов. Они растут неравномерно: доминируют один или два фолликула, т.е. они растут быстрее.
При синдроме мультифолликулярные яичники в организме созревают 8 или более фолликулов. Это может быть временным явлением, а может указывать на проблемы с гормональной системой.
Иногда эта патология является предвестником поликистоза.
Главный вопрос, который мучает пациентов с мультифолликулярными яичниками: возможно ли забеременеть? В некоторых случаях это отклонение не влияет на овуляцию, поэтому женщина может зачать ребенка, но, если беременность не наступает в течение нескольких месяцев, а анализы показывают отсутствие овуляции, следует начинать лечение. Лучше всего, если это народные средства, которые не нарушают гормональный баланс и помогают естественным образом восстановить репродуктивную функцию.
Причины возникновения МФЯ
- Наиболее распространенные причины возникновения многофолликулярных яичников это:
- генетическая предрасположенность;
- гормональный сбой (недостаток лютеинизирующего гормона, проблемы с щитовидной железой, период лактации, сбой в период полового созревания);
- внезапная потеря веса или увеличение веса;
- прекращение использования противозачаточных таблеток;
- депрессия, постоянный стресс.
Чтобы определить точные причины, необходимо пройти гормональный анализ. Если есть существенные отклонения от нормы, шансы на беременность уменьшаются, и пациентка должна пройти курс лечения.
Симптомы МФЯ
В большинстве случаев такое отклонение не дает симптомов. Только ультразвук может обнаружить эхо-сигналы: количество фолликулов, превышающее норму. В этом случае необходимо отслеживать динамику развития этих фолликулов: в этот момент ультразвук проводится в начале, середине и конце менструального цикла.
Если проблемой является низкий уровень лютеинизирующего гормона, существуют такие признаки многофолликулярных яичников:
- задержка менструального цикла;
- аменорея (не более шести месяцев);
- бесплодие (беременность не наступает из-за отсутствия овуляции).
Стоит отметить, что эти симптомы не обязательно указывают на наличие в анамнезе МФЯ. Но нарушения менструального цикла являются явным признаком гормонального сбоя, поэтому лечащему врачу необходимо понять диагноз и устранить причину.
Дефицит прогестерона — причина отсутствия беременности
Наиболее частой причиной тревожности по поводу беременности при МФЯ является дефицит прогестерона. Во время формирования плаценты прогестерон выделяется желтым телом во время беременности. После того, как плацента полностью сформировалась, она сохраняет сарен, чтобы сохранить рыхлость в желтом теле, и начинает синтезировать только прогестерон.
Развивающийся и растущий плод воспринимается маткой как «инородное тело», которое имеет тенденцию к рефлексивному разрыву. Прогестерон предотвращает преждевременное прерывание беременности, так как предотвращает сокращение мышечной стенки при беременности. Он также стимулирует рост матки и участвует в подготовке молочных желез к лактации.
При дефиците прогестерона в мультифолликулярных яичниках существует риск преждевременного прерывания беременности. Несмотря на возможность осложнений, подавляющее большинство случаев МФЯ не влияет на нормальное течение беременности и и плода.
Лечение многофолликулярных яичников
Очень важно понимать, что в конечном итоге не следует воспринимать единственный результат о наличии структурных аномалий в яичниках.
Яичники очень чувствительно реагируют на любые временные события (переохлаждение, стресс, инфекционные заболевания, внезапные колебания настроения, чрезмерную физическую активность и т.д.
) в организме и окружающей среде, а иногда реагируют на них с изменением своих функции.
Поэтому при повторном УЗИ в следующем цикле наличие мультифолликулярных яичников может больше не диагностироваться. Исследование проводится в 2 или 3 последующих циклах, и, если картина не меняется, принимается решение о дополнительных тактиках.
Многофолликулярные яичники не лечат, поскольку они не рассматриваются как диагноз или заболевание. Однако, если это является следствием постоянной гормональной дисфункции, необходимо создать и устранить ее источник. В этом случае их не лечат, но патогенез, который их провоцирует, чаще всего заключается в низком содержании лютеинизирующего гормона, ответственного за полную овуляцию.
Чтобы исправить правильный гормональный баланс и способствовать овуляции, в его составе используются гормональные препараты с соответствующим соотношением гормонов. Они подбираются индивидуально на основании лабораторных данных.
Многофолликулярные яичники у подростков – обычное явление, связанное с возрастной нормой, если девушка не жалуется на тяжелую менструальную дисфункцию или другие недуги.
Если мультифолликулярные яичники диагностируются на фоне применения гормональной контрацепции, считается физиологическое состояние.
Когда прием гормональных средств завершен и гормональный фон полон, структура яичников самостоятельно улучшается после двух или трех циклов.
Пошаговое лечение МФЯ
Чрезвычайно важно точно интерпретировать данные ультразвукового сканирования, чтобы отделить мультифолликулярные яичники от поликистозных офтальмологических, так как иногда безобидный результат превращается в серьезный диагноз после дополнительного обследования.
Лечение поликистозных яичников требует много времени и состоит из множества последовательных стадий, так как многие важные системы организма участвуют в формировании поликистоза. На начальных этапах существующие метаболические и эндокринные нарушения улучшаются: разрабатывается индивидуальный план физической активности, пересматривается рацион питания и назначаются меры по снижению веса.
Следующие шаги предназначены для устранения гормональных нарушений (особенно гиперандрогении) и обеспечения овуляции. С этими задачами могут справиться гормональные препараты из группы комбинированных контрацептивов. При лечении поликистоза предпочтительными являются препараты с низким содержанием эстрогена (Marvelon, Logest, Janine и аналоги).
Изменения, происходящие в яичниках в течение периода лечения, полностью контролируются ультразвуком. Если женщина не планирует беременность, лечение прекращается. Если необходимо улучшить циклы овуляции, терапия завершается следующим этапом – стимуляция овуляции.
К сожалению, не всегда возможно выполнить репродуктивную функцию в случае поликистоза. И если лечение окажет положительный эффект, болезнь может вернуться через несколько лет.
Лечение народными методами
В отличие от фармацевтических гормональных препаратов, лечение травами не имеет побочных эффектов.
- Авраамовое дерево увеличивает секрецию лютеинизирующего гормона в гипофизе, а значит, устраняет причину МФЯ. Лечения длится 3 месяца для устойчивого эффекта. Заваривать чай каждое утро и вечер: для этого замочить 10 г фруктов в стакане кипятка и выпейте легкого меда.
- Весенний кипарис, содержит фитогормоны, стимулирует выработку лютеинизирующего гормона. Положить несколько трав в стеклянную емкость, добавить 1 литр водки или разбавленного спирта, накрыть и убрать в темное место. Через 10 дней настойка готова. Утром и вечером пить по чайной ложке лекарства.
- Пастернак столовый. Его народные целители рекомендуют настаивать на вине (1 литр напитка на 100 г трав). Для этого нагреть вино почти до кипения и добавить в него немного гвоздики. Залить этим составом сухую траву и смешать с несколькими столовыми ложками меда. Оставить в теплом месте на три дня, затем процедить и хранить в холодильнике. Пить по 50 мл каждую ночь перед сном, за исключением дней менструации.
Источник: https://lyamusik.ru/planirovanie-beremennosti/multifollikulyarnye-yaichniki/
Мультифолликулярные яичники: что это такое, причины, симптомы

Многие женщины, услышав от врача по ультразвуку, что у них мультифолликулярные яичники, начинают беспокоиться. Но это не повод для паники – это условие, при котором большое количество яичных зачатков начинает созревать одновременно.
К сожалению, в некоторых случаях ультразвуковые изображения с мультифолликулярными яичниками и поликистозом яичников сходны, поэтому для окончательного диагноза необходимо пройти тесты, которые помогут определить уровень гормонов.
Рассмотрим особенности данного состояния, причины, признаки, методы лечения.
Функции яичников
Яичники представляют собой парный орган женской репродуктивной системы, они расположены в полости таза по обе стороны матки. Связаны с железами внутренней секреции, вырабатываемыми половые стероидные гормоны: эстроген, андроген, прогестин.
Яичники функционируют с момента окончания полового созревания и до менопаузы, выполняя такие функции, как:
- Генеративная – размножение яиц, способных к оплодотворению. В коре придатков содержатся первичные фолликулы, в каждом из которых происходит созревание яйца. Во время полового созревания в яичниках насчитывается около 40 000 фолликулов, и после его завершения их число постепенно уменьшается, что проявляется в регулярных менструациях.
- Гормональная – обеспечивает непрерывное производство гормонов. В этом случае секреция эстрогена и прогестерона контролируется передней гипофизом. Эстрогены продуцируются с помощью фолликулостимулирующего гормона в первой фазе цикла, а лютеинизирующий гормон отвечает за гормональные изменения во второй фазе.
- Вегетативная – ответственная за развитие внешних женских половых характеристик, поддерживает женственность.
Железы содержат определенное количество фолликулов, в каждом из которых созревает яйцо. Обычно 4-7 фолликулов созревают ежемесячно, один из которых является доминирующим и замедляет развитие других. Он производит яйцо, готовое к оплодотворению в период овуляции. Если зачатие не происходит, фолликулы растворяются, создавая место для следующей партии.
Если количество фолликулов превышает норму, это указывает на многоосность. Особенность этого условия заключается в том, что фолликулы не достигают полной зрелости.
Это проявляется в нарушениях менструального цикла, отсутствии менструаций в течение 6 или более месяцев. Но в некоторых случаях большое количество фолликулов является вариантом физиологической нормы.
Это характерно для подростков, когда гормональная функция еще не полностью сформирована.
Аналогичное наблюдается у женщин, которые использовали гормональные контрацептивы в течение длительного периода времени. В любом случае, требуется комплексная коррекция нарушений с восстановлением менструальной функции и устранением связанных с этим проблем.
Основные причины мультифолликулярных яичников
Существует несколько основных причин, вызывающих изменения:
- Длительное применение гормональных препаратов.
- Период полового созревания.
- Наследственная предрасположенность.
- Избыток или отсутствие веса тела.
- Нарушение гипофиза.
- Эндокринные патологии.
Во время ультразвука обнаруживается 12 или более зрелых фолликулов. Симптомы этого состояния не всегда дают о себе знать. Комплексная диагностика проводится для определения характера и риска осложнений функции деторождения. Исходя из результатов исследований, могут быть назначены корректирующие методы, направленные на восстановление нормального функционирования репродуктивных органов.
Эпидемиология
Мультифолликулярные яичники представляют собой большое количество фолликулов, сформированных один раз или во время каждого менструального цикла.
Статистика показывает, что около 25% здоровых женщин репродуктивного возраста сталкиваются с этим диагнозом. Из них более 70% имеют гормональные проблемы и избыточный вес тела.
В 11% случаев многофолликулярность приводит к развитию поликистоза и более серьезным осложнениям.
Мультифолликулярные яичники после отмены ОК
Оральные контрацептивы очень популярны, их принимают около 60% женщин. После прекращения приема OK в организме, начинаются изменения:
- Прекращается действие гестагенов.
- Период овуляции ускоряется.
- Гонадотропная функция гипофиза восстанавливается.
На этом фоне вырабатывается большое количество лютеинизирующих и фолликулостимулирующих гормонов. В течение 2-3 месяцев восстанавливается репродуктивная функция и стабилизируется менструальный цикл.
Как правило, контрацептивы вряд ли влияют на женское тело. Очень часто их назначают не только для предотвращения нежелательной беременности, но также для лечения гинекологических заболеваний: аменореи, миомы, дисфункционального маточного кровотечения, эндометриоза, СПКЯ и других.
Но в некоторых случаях долгосрочное использование противозачаточных таблеток приводит к развитию мультифалликулярности. После отмены ОК это условие требует коррекции, так как существует риск развития поликистоза с дальнейшим превращением в склерополицистоз.
Факторы риска
Увеличение числа фолликулов возникает из-за воздействия на организм эндогенных и экзогенных факторов. Рассмотрим основные факторы риска, которые могут спровоцировать мультифолликулярность:
- Наследственность.
- Длительное потребление оральных контрацептивов.
- Ожирение или отсутствие веса.
- Стресс.
- Лактация.
- Сахарный диабет.
- Нарушение синтеза лютеинизирующего гормона.
- Половое созревание.
- Возраст старше 35 лет.
Очень часто многофолликулярность развивается из-за ожирения, с которым сталкиваются 35-60% женщин. Отложение избыточного жира напрямую связано с увеличением концентрации триглицеридов и инсулина в плазме крови. Это приводит к снижению толерантности к глюкозе и диабету. Другим распространенным фактором является артериальная гипертензия и дислипидемия.
Патогенез
Механизм развития мультифолликулярных яичников до настоящего времени недостаточно изучен. Происходит это из-за действия различных причин и факторов. Патогенез основан на нарушении функций органов.
Как правило, каждый придаток в начале цикла производит не более 10 антральных фолликулов. Под действием гормонов один из них превращается в доминирующий, его капсула расходится и происходит овуляция.
Неправильная работа коры надпочечников приводит к увеличению производства фолликулов. Это условие влечет за собой развитие многополюсности, а в некоторых случаях и поликистозу.
Симптомы мультифолликулярных яичников
В большинстве случаев МФЯ обнаруживается во время ультразвука. Но есть ряд симптомов, указывающих на развитие мультифолликулеза:
- Сбой менструального цикла.
- Тянущие боли в нижней части живота.
- Повышенная растительность на теле и лице.
- Акне и угревая сыпь.
- Жирная кожа головы.
- Бесплодие.
- Изменение массы тела в направлении увеличения.
Наличие вышеуказанных симптомов в сочетании с заключением ультразвука является причиной дальнейшего диагноза. По результатам исследований будут предписаны методы коррекции или лечения. Если симптомы остаются без лечения, это может привести к изменению поликистозных органов.
Первым признаком является отсутствие менструации в течение длительного периода времени без начала беременности. Кроме того, многие пациенты отмечают снижение тональности голоса, увеличение веса и появление избыточной растительности на теле (гирсутизм).
Большое количество фолликулов приводит к ановуляторным циклам, которые могут возникать до 5 раз в год. Они появляются из-за неполного созревания фолликулярной доминанты или из-за фолликулярной кисты.
Анокулярные циклы характеризуются нарушением овуляции, что, в свою очередь, создает проблемы с зачатием. Это неспособность забеременеть, то есть бесплодие неизвестного генеза.
Задержка менструации
Одним из основных признаков мультифолликулярных яичников является нарушение менструального цикла. Кровотечения становятся нерегулярными, есть длительные задержки.
В этом случае цикл может оставаться нормальным, но растягиваться в течение длительного времени. В некоторых случаях цикл длится от 2-3 месяцев до шести месяцев.
На этом фоне существует проблема зачатия, поскольку фолликулы не созревают и не готовы к оплодотворению.
Для восстановления менструации и процесса овуляции используются гормональные препараты, которые стимулируют нормальное производство женских половых гормонов.
Боль в нижней части живота при мультифолликулярных яичниках
Появление болезненных ощущений в нижней части живота чаще всего связано с увеличением производства простагландинов. Подобные симптомы возникают, когда органы малого таза сжимаются расширенными придатками, в этом случае диагностируется поликистоз. Чаще всего дискомфорт вызван яичником, в котором созревают яйца.
Боль в животе объясняется процессом созревания яйца. Стены созревающих фолликулов растягиваются и возникает дискомфорт. В случае мультифолликулярности одновременно наблюдаются несколько доминирующих структурных элементов.
Болезненные ощущения связаны с разрывом сосудов, расположенных у основания разрывающегося фолликула. Фолликулярная жидкость входит в эпителий матки и брюшную стенку, вызывая раздражение и дискомфорт тканей.
В этом случае, помимо боли, появляются незначительные выделения.
Дискомфорт длится от пары минут до 1-2 дней. В дополнение к боли увеличивается либидо, изменяется консистенция и вязкость слизи из вульвы.
Но не исключайте вариант, что неприятные чувства связаны с развитием гинекологического заболевания или воспалительного процесса. Боли в правой боли в сочетании с лихорадкой могут быть признаком аппендицита. Такая симптоматика характерна для комиссурального заболевания в малом тазу. В любом случае, боль является причиной обследования у гинеколога.
Мультифолликулярные поликистозные яичники
Если количество фолликулов в яичниках превышает норму, то это указывает на их мультифолликулярность. Эти изменения могут быть определены с помощью ультразвука. Это состояние диагностируется у здоровых женщин в первую неделю менструального цикла. Но если изменения сохраняются в другие фазы цикла, это является причиной всестороннего обследования.
Несмотря на то, что мультифолликулярность обнаруживается на каждом 4-6 УЗИ, поликистоз диагностируется у 4% женщин. Мультифолликулярный поликистоз или синдром Штейна-Левенталя – редкое заболевание, возникающее в результате действия таких факторов:
- Избыточный вес тела.
- Генетическая предрасположенность.
- Осложнения инфекционных и воспалительных процессов.
- Длительные эмоциональные переживания, стресс.
- Гормональный дисбаланс.
- Увеличение производства андрогенов.
- Патологии мозга.
- Устойчивость к инсулину.
Заболевание происходит с уменьшением уровня женских гормонов эстрогенов и увеличением тестостерона. Концентрация инсулина увеличивается, а отношение лютеинизирующего и фолликулостимулирующего гормона изменяется от 1,5-2 до 2,5-3.
Мультифолликулярные яичники и овуляция
Недостаточное развитие передней доли гипофиза лютеинизирующего гормона является одной из причин развития мультифолликулярности. Гормон высвобождается во второй половине менструального цикла и отвечает за стимулирование процесса овуляции.
Сниженный уровень лютеинизирующего гормона может быть вызван внезапными изменениями в весе, продолжительным потреблением гормональных препаратов, эндокринными заболеваниями и рядом других причин. Дефицит гормона приводит к тому, что фолликулы не могут созревать или наоборот, одновременно появляются несколько доминирующих.
Мультифолликулярные яичники и овуляция взаимосвязаны. Если одновременно возникает несколько фолликулов, это приводит к увеличению производства эстрогена. Из-за этого менструальный цикл задерживается. Если овуляция не возникает во время овуляции, она вызывает ановативные менструации, что приводит к бесплодию.
Осложнения и последствия
Мультифолликулярные яичники, вызванные гормональными нарушениями или более серьезными причинами, требуют лечения. Если вы оставите этот процесс без внимания и медицинской помощи, это только усугубит болезненные симптомы, вызовет ряд последствий и осложнений:
- Неспособность зачать ребенка.
- Нарушения обмена веществ в организме.
- Постоянное повышение артериального давления.
- Нарушение кровоснабжения сердечной мышцы.
- Рак матки из-за атипичных клеток, которые образуются на слизистой оболочке эндометрия с длительным ухудшением функций придатков.
- Спонтанное прекращение беременности.
- Гипергликемия.
Чтобы снизить риск этих осложнений, необходимо регулярно проходить гинекологические обследования и начинать лечение при первых признаках.
Разница между поликистозными и мультифолликулярными яичниками
Два аналогичных по симптомам и природе происхождения заболевания – поликистоз и МФЯ.
На каждом четвертом ультразвуке обнаруживается повышенное количество фолликулов, но поликистоз диагностируется только у 30% таких пациентов. Поликистоз – патология структуры и функции яичников.
В отличие от МФЯ, он протекает с хронической ановуляцией и гиперандрогенизмом. Более того, мультифолликулярность может быть одной из причин развития СПКЯ.
Рассмотрим основные различия между СПКЯ и МФЯ:
- Размер яичников – у мультифолликулярных яичников объем немного больше, чем обычно. Длина фолликула при СПКЯ составляет более 40 мм, с нормой 34-37 мм.
- Фолликулы – в обоих случаях наблюдаются множественные структурные элементы. С МФЯ их диаметр составляет не более 9 мм, а при СПКЯ они значительно превышают норму. Капсула фолликула при поликистозе сильно утолщена, что препятствует выходу яйца и провоцирует рост фолликулярных кист.
- ДГЭА и 17-OH гормоны прогестерона продуцируются надпочечниками, с МФЯ в нормальных пределах, а при СПКЯ их значения увеличены.
Когда делается окончательный диагноз, учитываются результаты дифференцировки при поликистозном заболевании и риск трансформации многофолликулярности в СПКЯ. Правильно разработанный режим лечения позволяет восстановить репродуктивные функции с минимальными последствиями для организма.
Источник: https://polikistoz-ya.ru/multifollikulyarnye-yaichniki/