На какой неделе беременности можно узнать пол ребенка по УЗИ: точный результат

Большинство будущих родителей интересует вопрос, на какой неделе беременности можно узнать пол ребенка по УЗИ. Людям важен точный результат. Есть ли смысл спрашивать, девочка будет или мальчик, на основных УЗИ, которые проходит во время беременности каждая женщина.
6-8 недели
На этом сроке УЗИ делают, чтобы подтвердить беременность и определить, развивается она в матке или вне ее. Даже самый лучший врач не сможет определить пол малыша: хотя половые бугорки, из которых потом разовьются наружные половые органы, уже есть, но они слишком малы, чтобы уверенно разглядеть их.
На 6-й неделе весь малыш имеет размер всего 3,5 мм, на 7-й – 5-7 мм, на 8-й, после резкого скачка роста, аж 2,5 см, но микроскопические половые бугорки видны плохо, да и выглядят пока одинаково у мальчиков и девочек.
Первый скрининг
Исследование проводят с 10 по 13 акушерскую неделю. Если выбраны оптимальные сроки, на 11-12 неделе беременности, то можно узнать, какой пол у ребенка по половым бугоркам, которые уже обнаруживаются на УЗИ. У девочек центральная ось полового бугорка практически параллельна спинке, а у мальчиков угол между этими воображаемыми осями составляет около 30 градусов.
Интересно! Причины ноющей боли в пояснице у женщин
Есть миф, что определить пол на таких сроках может только сверхопытный врач при помощи новейшего оборудования. На правильность такого определения больше влияют такие факторы:
- положение плода: если он лежит идеально в профиль, точность повышается;
- положение ручек и пуповины, которые могут закрывать обзор;
- необходимость для врача сосредоточиться на других показателях, ведь главная задача первого скрининга – определить возможные патологии.
Если факторы идеально совпали, точность определения пола на этом сроке составляет 75-80 %, если же хотя бы один не соблюден, врач вряд ли станет рисковать репутацией.
Кроме того, для некоторых женщин пол ребенка критичен, и они могут пойти на аборт даже при нормальной беременности, просто по причине того, что ждут, например, девочку, а нужен сын. Зная о таких случаях, врачи часто молчат о половой принадлежности младенца, чтобы не подвергать опасности его жизнь.
Интересно! Когда дети начинают разговаривать?
Второй скрининг
Лучший период для определения пола – 20-22 недели. Если положение плода удобно для врача, точность определения приблизится к 100 %. На этом этапе уже сформированы наружные половые органы.
Вероятность ошибки возникает, если мальчик закроет орган ручками или ножками, а у девочки особенным образом расположится пуповина.
Эта проблема решаема, если потратить на исследование чуть больше времени, но большинство детей не любит процедуру УЗИ и стремится «закрыться» от датчика. В таком случае стоит подумать, а так ли важно узнать пол за счет того, что малыш получает неприятные ощущения.
Третий скрининг
В это время в норме ребенок занимает то положение в матке, которое и будет перед родами, хотя некоторые дети могут перевернуться и позже. Но во время исследования плод уже статичен, и если он зажал между ножками пуповину или закрыл промежность, то уверенно разглядеть его пол практически невозможно.
В некоторых случаях увидеть пол можно и на 31-34 неделе, но подгадывать для этого период не рекомендуется.
Лучшие и худшие недели для определения пола
Кроме описанных, для определения пола хорошо подходят:
- 14-15 неделя – половые органы уже практически сформированы, поведение плода в матке свободное;
- 23-25 неделя – половые органы сформированы гораздо лучше, и малыш еще может активно шевелиться, открывая ранее закрытые зоны.
Начиная с 30-й недели пол определить все сложнее – по причинам, которые описаны в разделе о 3-м скрининге. Чем ближе к родам, тем меньше вероятность рассмотреть все необходимое.
Несколько советов
Желание молодых родителей побыстрее узнать, кто же скрывается в мамином животе, понятно. Как узнать это правильно?
- Не стоит слишком сильно настаивать на определении пола во время скрининга. Во-первых, вы отвлекаете врача от гораздо более важной задачи: он смотрит, здоров ли малыш, не потребуется ли ему медицинская помощь сразу после родов, а может быть и до рождения. Во-вторых, вы ставите врача в неудобное положение: если специалист уверен в том, что видит, он сам спросит, хотите ли вы знать пол будущего младенца, или среагирует на первую же просьбу.
- Уточните перед процедурой, нужно ли принимать перед исследованием какие-либо препараты: некоторым врачам удобно, если пациентка приняла симетикон или другое ветрогонное средство, для других это не имеет значения. Газы в кишечнике матери могут мешать обзору.
- Во время исследования максимально расслабьтесь, ведь чем больше волнуется мама, тем больше шевелится малыш, и тем труднее врачу определить не только его пол, но и другие параметры.
Подводя итоги
- На 12 неделе беременности по УЗИ уже можно узнать, какой пол у ребенка. Можно говорить только о вероятности того, девочка у вас будет или мальчик.
- Наибольшую точность в выявлении пола малыша дает второй скрининг в 20-22 недели.
- После тридцатой недели беременности ребенок становится слишком подвижным и скрининг может быть сделан с погрешностями.
Подробно смотрите в видео материале тут
Источник: https://zen.yandex.ru/media/id/5c712adbb40ff300b344cd69/na-kakoi-nedele-beremennosti-mojno-uznat-pol-rebenka-po-uzi-tochnyi-rezultat-5e2d75f63f548700aee81d3f
На каком сроке беременности можно определить пол ребенка?

Беременность — это ответственный этап в жизни любой девушки. Будущие мамы и папы стремятся выяснить пол крохи уже сразу после зачатия. Получив информацию, можно подбирать коляску, игрушки и обставлять комнату вещами определенного цвета и дизайна.
Узнать со стопроцентной точностью нужные сведения реально только по истечению некоторого промежутка времени. При помощи данной статьи вы поймете, на каком сроке можно определить пол ребенка и как сделать это лучше всего.
Какими способами можно определить пол ребенка?
Есть пара популярных методик, которые помогут определить пол ребенка еще до появления малютки на свет. Наиболее распространенным остается ультразвуковое исследование брюшной полости человека.
Хотя данная процедура предназначена для контроля над развитием эмбриона, при помощи УЗИ реально получить ответ на самый желанный вопрос. Врач в больнице будет проводить плановый осмотр на каждом триместре беременности, во время которого есть шанс увидеть и пол ребенка.
Особенности УЗИ:
- точность проверки полностью зависит от развития плода;
- процедура обязательна для всех;
- проводится исследование анатомии развивающегося плода;
- врач также осматривает плаценту, пуповину, матку и придатки;
- есть шанс определить пол ребенка;
- на каком сроке точно можно узнать результат – сведения зависят от развития плода.
Широкого распространения ультразвуковое исследование приобрело только в 50-х годах прошлого столетия, с тех пор каждая беременная женщина обязана проходить процедуру УЗИ. Также очень популярным является ДНК тест.
Опытные доктора в специальной лаборатории проведут анализ материнской крови на присутствие в ней ДНК ребенка. При каком сроке беременности можно определить пол ребенка? Достоверные итоги будут доступны уже на втором месяце после зачатия.
Тест полностью безопасен и очень прост, хотя и является более дорогостоящим, чем УЗИ.
Много веков подряд будущие мамы при планировании детей руководствовались исключительно суевериями. Например, если в день полового акта вы ели сладкое – на свет появится еще одна представительница прекрасного пола, если соленое – вы будете воспитывать богатыря.
На каком сроке можно точно определить пол ребенка при помощи народных методов? У суеверий нет научных подтверждений, шанс на ошибку остается большим.
Помните, что подобные действия не являются достоверным методом определения половой принадлежности будущего новорожденного.
Важно! Существуют дорогостоящие процедуры, которые реально эффективны при планировании точного пола ребенка. Метод основан на сортировке женских и мужских хромосом. Подобный способ действенен во время искусственного оплодотворения.
На каком сроке можно узнать с помощью УЗИ?
Ультразвуковое исследование при беременности – распространенная процедура, которая в обязательном порядке должна проводиться в конце каждого триместра жизнедеятельности плода. Таким образом доктора получат достоверную информацию об эмбрионе. Этот метод диагностики полностью безопасен, он не навредит ни матери, ни малютке.
На каком сроке определяют пол ребенка при помощи УЗИ:
- первые результаты будут доступны на раннем сроке, а именно по окончанию первого триместра;
- получить достоверные факты реально только через пару месяцев.
Как делают и что видно с помощью ультразвука?
Первое УЗИ рекомендуют делать по истечению 10 недель после зачатия. Исследование проходит при помощи генератора ультразвуковых волн и абдоминального датчика.
Как делают УЗИ:
- Женщина оголяет живот, а затем ложится на спину.
- На целевую зону наносится специальный гель.
- Врач водит специальным прибором по животу.
- На экране отображается состояние эмбриона.
Женщины, отправляясь на первую ультразвуковую диагностику, задают вопрос, на каком сроке беременности можно узнать пол ребенка при помощи УЗИ раньше всего. Опытные доктора дадут вам точный ответ на столь раннем сроке. Специалисты не только удостоверятся в отсутствии патологий у малыша, но и проверят точное расстояние между его копчиком и теменем.
Хотя органы пока не сформировались, врач способен увидеть в брюшной области плода несформированный маленький бугорок. Существует также трансвагинальное УЗИ, датчик следует ввести во влагалище. Чаще всего подобное ультразвуковое исследование врач назначает только на первом триместре.
На каком сроке беременности определяют пол ребенка большинство специалистов при помощи УЗИ? Проще всего сделать это на 15 неделе.
Именно на данном внутриутробном этапе развития можно с лёгкостью увидеть половые органы. Очень важно, чтобы малыш не прикрыл свой пах. Также доктор должен провести ряд дополнительных исследований.
Например, для определения пола нужно измерить промежуток между спиной и половым бугорком.
Может ли быть ошибка?
Во время процедуры ультразвукового исследования заключение медика бывает ошибочным. На каком сроке беременности можно увидеть первый результат? Если плоду меньше 3 месяцев, на точные данные не рассчитывайте. Половые органы только начинают формироваться, вероятность погрешности примерно 50 процентов.
Основные причины ошибки:
- малый срок беременности;
- плохое качество аппаратуры;
- низкая квалификация доктора.
На более позднем сроке результат также может отличаться от реальности. Специалисты иногда принимают большие половые губы малышки за пенис.
На каком сроке узнают пол ребенка почти все родители? На 18 неделе плод уже достаточно развит, вероятность ошибки незначительная.
Как узнают на раннем сроке беременности?
Существует огромное количество народных методов, которые помогут определить пол малыша на раннем сроке. Большинство из них не имеют научных подтверждений.
ДНК-тест – это единственный проверенный способ, при помощи которого реально узнать ответ на нужный вопрос еще на втором месяце беременности.
Данный метод определения половой принадлежности эмбриона стал более популярным за последние несколько лет
Обратите внимание! Тест ДНК на раннем сроке не освобождает будущую маму от плановых УЗИ. Только ультразвуковые исследования помогут узнать о возможных патологиях развития.
Процедура ДНК-теста
Как определить пол будущего ребенка на раннем сроке беременности? Вам поможет процедура ДНК-теста. Если в анализах матери будет обнаружена Y—хромосома, то она вынашивает сына.
Методика полностью безопасна, чтобы завершить тест женщина должна сдать немного крови из вены. Лабораторный анализ является более предпочтительным, так как итог будет доступен на 4 неделе после зачатия.
Достоверная информация появится примерно через сутки после взятия пробы на анализ.
Положительными отличиями ДНК теста являются:
- высокая достоверность результата;
- возможность пройти тест за несколько минут;
- безопасность;
- расшифровка проводится исключительно в лабораторных условиях;
- шанс узнать результат на следующий день после анализа.
Насколько точен результат?
Новомодная процедура считается очень точной. В материнской крови могут появиться нетипичные маркеры: Y—хромосомы. На каком сроке определяют пол ребенка? Уже на втором месяце беременности концентрация фетальной ДНК увеличивается.
Примите во внимание индивидуальные особенности женского организма, а также процесса развития плода. Если найдут мужскую хромосому, то у вас в скором времени точно появится сын.
Отрицательный результат на ранних сроках может означать низкую концентрацию фетальной ДНК, но не гарантировать появление девочки.
На каком сроке лучше всего определить пол ребенка при помощи подобного теста? Если на ранней стадии Y—хромосому не нашли, то повторно сдать анализ рекомендовано на третьем месяце после зачатия.
Специалисты гарантируют результат, который будет точен на 99 процентов.
Многие хотят понять, в каком сроке беременности можно узнать достоверный пол ребенка при многоплодной беременности. Данный метод остается эффективным, даже если вы ждете двойню или тройню. Результат будет доступен в аналогичные сроки. Следует учитывать, что реально определить пол только одного мальчика. Остальные зародыши могут быть и женскими.
Что происходит с эмбрионом на самом важном этапе его развития, а именно в первом триместре беременности, расскажет видео. Кроме того, здесь вы найдет информацию и о том, когда же можно узнать пол будущего ребенка:
Заключение
- ДНК-тест и УЗИ являются самыми распространенными методами узнать пол ребенка.
- При помощи стандартного венозного забора вы получите правильную информацию на очень раннем сроке беременности. Основной минус – анализ материнской крови на присутствие в ней ДНК ребенка иногда будет неправильным из-за низкой концентрации молекул дезоксирибонуклеиновой кислоты в кровеносной системе.
- Ультразвуковое исследование считается более распространенным способом получения результата. Главное негативное отличие – большая вероятность ошибки на ранней стадии. На каком сроке можно узнать точный пол ребенка в этом случае? Достоверность информации зависит от развития плода, правильный результат реально определить только на 18 неделе.
Источник: https://bvk.news/semya/beremennost/opredelit-pol-rebenka.html
Как узнать пол ребенка — методы, параметры, приметы

Обычно будущим родителям не терпится узнать, кто родится – мальчик или девочка? Некоторые пытаются определить пол нетрадиционными методами, например, по дате овуляции и зачатия, но не всегда результат оказывается достоверным. Сегодня специалисты питерской клиники Диана расскажут, как узнать пол ребенка на УЗИ и другими методами.
Зачем нужно определять пол ребенка
Существует несколько причин, для чего будущие родители хотят определить пол малыша. Прежде всего, это интерес и любопытство, которые не дают дождаться рождения в неведении. Кроме этого, некоторые пары желают заранее подготовить комнату, купить вещи и выбрать имя, а некоторые родители мечтают именно о мальчике или девочке.
Важность определения пола ребенка обусловлена и медицинскими показаниями. Когда речь идет о хромосомных патологиях, такая информация о половой принадлежности жизненно необходима.
Развитие плода и его половых признаков по срокам беременности
В первом триместре пол ребенка определить практически невозможно. Можно лишь сделать предположение о половой принадлежности плода.
На 8 неделе беременности размер плода составляет всего 12 мм. Он уже имеет небольшую выпуклость – половой бугорок, который не отличается у девочек и мальчиков до 11 недели, поэтому идентифицировать пол невозможно.
К 11 акушерской неделе плод вырастает до 45 мм. Внешних отличий половых органов также ещё нет. На УЗИ у эмбриона можно рассмотреть анус, углубление уретры, половой бугорок и половые складочки, окруженные снаружи губно-мошоночными бугорками.
Длина эмбриона на 13 неделе составляет 64 мм. На этом сроке у мальчиков под воздействием тестостерона из полового бугорка начинает формироваться пенис, а из половых складочек – тело органа. Происходит усиленный рост губно-мошоночных бугорков, которые, срастаясь, превращаются в мошонку. К этому времени крайняя плоть уже сформирована полностью.
В организме девочки содержится незначительное количество тестостерона, поэтому внешне её половые органы после 8 недели практически не изменяется.
Происходит формирование клитора из полового бугорка, малых половых губ из мочеполовых складок, а также больших половых губ из губно-мошоночных бугорков. Открытая мочеполовая борозда образует вход во влагалище.
Локализация наружного отверстия мочеиспускательного канала определяется на 14 неделе беременности.
К 20 неделе половые органы обоих полов уже практически полностью сформированы и могут быть идентифицированы — иными словами на УЗИ уже можно увидеть, кто будет — мальчик или девочка.
Когда можно наиболее точно определить пол ребенка
Оптимальный срок для определения половой принадлежности малыша — второй или третий триместр. Начиная с 20 недели, специалист может наиболее точно определить результат по уже практически сформированным половым органам ребенка. На экране УЗИ – аппарата у мальчиков видна только мошонка, самого часто пениса не видно. А вот у девочек очень хорошо просматриваются большие половые губы.
Бывает так, что во время обследования ребенок недостаточно подвижен или разворачивается так, что половые органы достаточно проблематично рассмотреть даже на третьем плановом УЗИ.
Иногда мальчик «скрывает» половой член, плотно сжав ножки, и может ошибочно «обозваться» девочкой. Или же, наоборот, девочку могут идентифицировать как мальчика, перепутав пуповину с пенисом.
Поэтому для достоверности результата процедуру УЗИ повторяют.
Опытный профессиональный сонографист может определить пол ребенка и по другим показателям. Так, у мальчиков пуповина более толстая, гораздо больше амниотической жидкости, да и вес плода значительный. У девочек же все наоборот – тонкая и менее длинная пуповина, меньший вес и объем околоплодных вод.
Способы определения пола по УЗИ на ранних сроках
Общепризнанный способ определения половых признаков ребенка — УЗИ. Этот информативный, безболезненный и безопасный метод не имеет противопоказаний и позволяет определить пол малыша с точностью 80 – 99%. На достоверность результат будет влиять опыт врача, качество оборудования и срок беременности, на котором происходит обследование.
Пол ребенка закладывается еще в момент зачатия. Изменить его невозможно, как бы не внушали СМИ идею о генетической инженерии. Не стоит верить и «народным методам», которые опровергаются традиционной медициной, а некоторые и вовсе опасны (например, ежедневно пить сок чеснока).
Сделать предположение о половой принадлежности можно, начиная с 12 недели, но при условии высококачественной аппаратуры и опытного квалифицированного врача. В противном случае ответ может оказаться ошибочным.
Существует несколько косвенных признаков, по которым будущие родители могут узнать результат:
- Угол, образованный спинкой ребенка и его половым бугорком. На развитие девочки указывает угол менее 30°. Если угол больше – женщина вынашивает мальчика.
- Локализация плаценты. Вероятность рождения мальчика значительно повышается при правостороннем расположении плаценты в матке. Если же «детское место» находится слева – можно вполне ожидать девочку. Данную взаимосвязь установил канадский врач – узист доктор Рамзи, в честь которого и назван этот метод определения пола. Удивительно, но многие отмечают достоверность способа;
- Форма черепа. Квадратные череп и челюсть указывают на рождение мальчика, круглые – девочки.
Чем меньший срок, на котором проводится исследование, тем больше вероятность получения ошибочного ответа. Но даже на позднем сроке опытный профессионал не сможет на все 100% определить пол. Ошибки могут возникнуть по следующим причинам:
- Неопытность или неквалифицированность врача.
- Низкокачественное или устаревшее оборудование – размытое изображение и небольшая глубина проникновения УЗ-лучей искажают достоверность результата. Высокая разрешающая способность оборудования и наличие Допплера снижают вероятность ошибки.
- Проведение исследования на слишком раннем сроке. Все женщины, как правило, очень любопытны, поэтому хотят как можно скорее узнать пол будущего малыша. Но стоит помнить, что на ранних сроках половые органы плода практически не отличаются или не сформированы вовсе, а УЗИ в первом триместре преследует другую цель – выявление возможных патологий.
- Многоплодная беременность – малыши могут прикрывать друг друга.
- Запоздалое УЗИ на позднем сроке беременности – достаточно большой размер плода не позволяет ему двигаться в матке, он так компактно сидит в ней, что неумышленно прячет половые органы. Это не позволяет врачу рассмотреть их на мониторе.
- Во время внутриутробного развития половые губы девочки могут отекать. Это не патология, но, напоминая внешне мошонку, может исказить результат.
Мальчики могут «прятать» свои половые органы и внешне казаться девочками. Также пуповина или выставленный пальчик девочек могут быть оценены как пенис.
Определение пола ребенка методом 3D и 4D УЗИ
Трехмерное и четырехмерное УЗИ – наиболее достоверный способ определения пола ребенка с помощью ультразвука. Такой вид исследования позволяет рассмотреть отдельные части тела ребенка и даже на кого из родителей он похож. Изображение плода настолько реалистичное, что будущие родители даже без помощи врача могут получить ответ. При этом ошибка практически исключается.
https://www.youtube.com/watch?v=nJdnhpZ6ynE
Оптимальным сроком проведения 3D и 4D УЗИ является 25 – 30 недели, когда возможно получение наиболее достоверного результата. Мощность ультразвука такая же, как и при двухмерном УЗИ. Он абсолютно безопасен и не вредит ни ребенку, ни будущей матери.
Кроме этого, отличается от 2D УЗИ большими возможностями, поскольку дает дополнительную информацию, способствующую успешной и своевременной диагностике многих отклонений.
Способы определения пола ребенка без УЗИ
Некоторые будущие родители пользуются другими способами определения половой принадлежности их малыша: кто-то «бабушкиными» методами, кто-то разными медицинскими способами. Стоит помнить, что многие из них являются «сомнительными» и недостоверными, а некоторые даже опасными.
- Биопсия ворсин зародыша плаценты – хориона. Данный метод дает 100%-й результат, но является достаточно опасным – может спровоцировать выкидыш или инфицирование. Поэтому используется лишь в крайнем случае – при генетических заболеваниях плода. Сам метод достаточно неприятный. Для взятия биопсийного материала в околоплодный пузырь вводят длинные специальные щипцы.
- Прокол околоплодного пузыря (амниоцентез). Метод также дискомфортный и болезненный. Он заключается в проколе околоплодного пузыря и взятии небольшого количества амниотической жидкости на исследование. Срок проведения процедуры – 16 – 18 недели. Амниоцентез также представляет опасность для матери и ребенка, угрожая выкидышем или инфицированием.
Неинвазивные расчетные методы пола ребенка
- По дате овуляции и зачатия. Если половой акт, приведший к оплодотворению, был за 3 – 5 дней до овуляции, велик шанс рождения девочки. Если за 1-2 дня или непосредственно в день выхода яйцеклетки – мальчика. Онлайн калькулятор овуляции находится здесь: ФОЛЛИКУЛОМЕТРИЯ.
- По сочетанию групп крови родителей через систему АВ0. Для расчета используются специальные таблицы, но сам способ опровергается традиционной медициной.
- По «обновлению» крови с помощью деления возраста. Необходимо возраст матери разделить на 3, а отца – на 4. У кого из родителей окажется меньшее значение, того пола и будет ребенок.
- По частоте сердцебиений. По такому методу пол определяется на 12-14 неделях. Пороговым значением для мальчиков является 140 уд/мин. Превышение этого показателя свидетельствует о развитии девочки.
- По внешнему виду беременной. «Потеря красоты» будущей мамы в период вынашивания, круглый живот, потемнение сосков, повышенная раздражительность и капризность указывает на рождение девочки.
- Острый живот и прекрасное настроение — «мужские» признаки.
- По первому шевелению. Если женщина почувствовала первое движение плода слева – к рождению девочки, справа – мальчика.
Таким образом, ультразвуковое исследование – наиболее достоверный, а, главное, безопасный метод определения пола будущего ребенка.
Да, вероятность ошибки существует, но это не повод из-за любопытства подвергать опасности себя и своего ребенка, используя инвазивные расчетные методы.
Неинвазиные способы достаточно сомнительны и научно не подтверждены, поэтому полагаться на них или нет – индивидуальный выбор каждых будущих родителей. Врачи не рекомендуют доверять им, считая их «бабушкиными» поверьями и не более.
Где определить пол ребенка в СПБ
Если Вы хотите узнать, кто у Вас родится — мальчик или девочка, приглашаем Вас в клинику Диана в Санкт-Петербурге. У нас установлен новый УЗ-аппарат с доплером и функциями 3-D и 4-D.
, пожалуйста, выделите фрагмент текста и нажмите Ctrl+Enter
ссылкой:
Источник: https://medcentr-diana-spb.ru/beremennost/uznat-pol-rebyonka-uzi-drugie-metodyi/
На каком сроке можно узнать пол ребенка?

Страстное желание узнать пол малыша на первых месяцах беременности неискоренимо. Родители высчитывают время зачатия, изучают глянцевые журналы и гадают на кофейной гуще. Родственники добавляют жару – прогнозируют девочку или мальчика и отстаивают свою точку зрения до последнего, даже если специалист четко увидел пол ребенка на обследовании.
Конечно, на первом месяце беременности точно узнать, кто родится, невозможно, а вот немного попозже вполне реально.
Мы попробуем прояснить, на какой неделе (месяце) беременности результативно УЗИ, какие способы и приметы пригодятся, чтобы узнать будет ли это мальчик или девочка.
Точно ли УЗИ определит пол ребенка?
Безусловно, самым точным методом определения пола будущего любимого чада является УЗИ.
Этот способ помог множеству родителей узнать, покупать им вещи розового цвета для будущей принцессы или собирать гардероб в сине-голубых тонах для будущего джентльмена.
Проблема лишь в том, что УЗИ можно проводить на определенных сроках беременности, не более трех раз (на 13-й неделе, на 23-24 неделе, непосредственно перед родами).
Во все эти разы малыш может располагаться в мамином животике таким образом, что специалист не сможет уверенно констатировать пол будущей крохи. Да и цель проведения УЗИ совсем не определения пола малыша. Специалисту важно определить количество детей, выявить пороки в развитии, определить, насколько зрела плацента перед родами.
Вывод: УЗИ – самый точный метод, но он тоже дает осечку. Срок беременности, развитие малыша, уровень специалиста, точность оборудования, положение ребенка в животике на момент проведения исследования – все эти важные факторы могут повлиять на результат.
Важно! Гениталии малыша формируются на 11-й неделе. Но в самом начале формирования пениса у мальчика это скорее небольшой бугорок, чем полноценный орган, который легко заметить.
Только к 13-й неделе он вытягивается в длину и становится более осязаемым. На раннем этапе их развитие настолько незначительно, что перепутать пол ребенка очень легко.
Специалист даже очень высокого уровня может предположить, кто родится, но гарантировать результат не сможет.
Срок беременности – важный показатель
К 19 неделе хороший специалист уже сможет на 80% быть уверенным в том, кто у мамы в животике: мальчик или девочка. Мальчика определить проще, а если вы ожидаете девчушку, то лучше обратиться к узисту уже на 24-й неделе беременности.
Народные приметы помогут узнать пол ребенка
Иногда задолго до сдачи анализов и первых УЗИ родственники и просто знакомые, да и сами родители каким-то образом определяют пол будущего ребенка. Родители могут почувствовать своего малыша инстинктивно, а коллеги, близкие и дальние родственники, просто знакомые полагаются на всякого рода приметы.
Самые распространенные:
- у мам-сладкоежек рождаются девочки, а у беременных женщин, которые предпочитают острую, соленую пищу и всякие «вредности», на свет появляются разбойники-мальчишки;
- будущие мамы мальчиков кушают значительно больше, чем мамы девочек;
- если у мамы сильно выпадают волосы, значит, родится девочка, повышенная «волосатость» на всем теле – к мальчику;
- у мам с тонкой талией и красивым лицом по «дедовским» приметам должен родиться мальчик, а если на лице появились пигментные пятнышки, кожа стала неровной, красноватой, фигура расплылась, а ноги отекли – вероятность того, что родится маленький мужичок, растет;
- на пол ребенка влияет месяц зачатия и возраст беременной женщины – четные числа возраста и месяца зачатия предсказывают рождение малышки, а нечетные – мальчика;
- высокий и острый животик чаще бывает у женщин, беременных мальчиком, а низкий и округлый – у будущих мам сорванцов.
Медицинские показатели беременности и пол ребенка
Есть и сугубо медицинские методы и способы определения пола будущего малыша: артериальное давление, отеки, скорость сердцебиения, время зачатия.
Узнать пол ребенка можно по:
- артериальному давлению (низкое – к девочке, высокое – к мальчику);
- скорости сердцебиения (чем больше количество ударов сердца в минуту, тем выше вероятность рождения мальчика);
- времени зачатия (зачатие до овуляции – к маленькой принцессе, а после – к мальчику).
Важно ли знать пол ребенка?
Иногда узнать пол будущего ребенка не помогают никакие приметы – ни склонность к сладкому, ни пигментные пятна, ни отекшие ноги. Даже специалист по УЗИ может быть бессилен – каждый раз во время обследования малыш может неизменно поворачиваться к нему попой. Поэтому полагаться на всяческие новомодные исследования, анализы, приметы и прогнозы родственников не всегда возможно.
На самом деле пол ребенка – не самое важное.
Когда вы увидите родной комочек, который совсем недавно был у вас в животике, а теперь превратился в отдельного самостоятельного, но такого беззащитного человечка, вы будете любить его, независимо от того, ждали ли вы девочку или мальчика. Рождение карапуза – настоящее чудо, которое перевернет вашу жизнь с ног на голову и придаст ей смысл. Легкой вам беременности и родов!
Похожие посты
Источник: https://mamsy.ru/blog/na-kakom-sroke-mozhno-uznat-pol-rebenka/
На каком сроке можно определить пол ребенка

Мальчик или девочка? Этот вопрос очень интересует всех будущих родителей.
В наше время супружеские пары не всегда полагаются на подсчёты в планировании пола малыша, а хотят знать, кто же у них родится, когда это уже возможно определить ультразвуковым исследованием. Итак, когда УЗИ с наибольшей вероятностью может определить пол ребёнка?
Физиология формирования пола ребёнка
Пол вашего ребенка при зачатии формирует мужчина в зависимости от того, какой сперматозоид оплодотворит мамину яйцеклетку. Если это сперматозоид с Х-хромосомой, то родится девочка, если сперматозоид с Y-хромосомой, то нужно ждать мальчика. Естественно, что в момент зачатия никто не знает, каким сперматозоидом оплодотворена яйцеклетка. Поэтому пары ждут до определенного времени.
Будущие папы и мамы часто интересуются, насколько точно можно узнать пол малыша в первом триместре его вынашивания. Напомним, что гениталии плода начинают формироваться с шестой недели беременности. Тогда появляется небольшой бугорок на месте половых органов малыша. До девятой недели эти бугорки у мальчиков и девочек выглядят одинаково, без заметных различий ввиду маленьких размеров.
После 11 недели у мальчиков бугорок видоизменяется в пенис. На 13 неделе беременности под действием гормона дигидротестерона его интимный орган начинает расти: пенис вытягивается. Яички на этом этапе находятся в животе.
В мошонку они опускаются лишь на 7 месяце беременности. Поэтому в 11 недель на УЗИ доктор может предположить, какого пола ребёнок у вас родится. Ошибка на этом сроке составляет 50%.
Поэтому, несмотря на большое желание родителей, при проведении первого УЗИ в 12-13 недель ещё тяжело точно определить пол вашего малыша.
Очень часто на этом сроке отек половых губ девочек можно ошибочно принять за мужской пенис. А ещё бывает так, что плотно сомкнутые ножки ребёнка просто закрывают его половые органы.
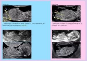
Очень опытные УЗИ-специалисты на хорошем аппарате могут определить пол будущего ребенка на 14 неделе. Для этого измеряется угол между половым бугорком и спинкой малыша.
У мальчиков этот угол 300 и больше, а у девочек меньше 300.
Определение пола
На сроке 18 недель можно говорить о более точном определении пола ребёнка. При этом мальчика врачам определить проще.
Самым оптимальным сроком для точного определения пола малыша является 20-24-я недели беременности. Плод в этот период уже очень подвижен, половые отличия мальчиков и девочек различимы. Именно поэтому на втором плановом УЗИ есть шансы узнать, кто же у вас родится.
Почему только шансы? Часто бывает так, что дитя во время УЗИ занимает неудобное для диагностирования положение, как бы отворачивается от врача — и трудно определить его пол. Такое случается редко.
Но в большинстве случаев одним из результатов второго планового УЗИ будет и определение пола ребёнка.
Не нужно расстраиваться, если ваш малыш «не позволил» определить его пол. Главное, чтоб он был здоров. А будущие мама и папа могут придумать два имени, при желании покупать вещи нейтральных цветов. Вспомните, что наши мамы и бабушки вообще не имели возможности знать пол своего будущего ребёнка до родов. Это было приятным сюрпризом при его появлении на свет.
Следует отметить, что существует методика очень точных результатов определения пола ребёнка. Это 3D ультразвуковое исследование. Оно платное и, как правило, проводится в медицинских центрах.
Сегодня медицина обладает и другими методиками определения пола будущего ребёнка на ранних сроках беременности. К этим методам прибегают лишь при определённых обстоятельствах. Например, когда появление на свет мальчика или девочки крайне нежелательно по медицинским показаниям (генетическим заболеваниям).
На сроке 7-10 недель пол ребёнка определяет биопсия хориона. Суть методики состоит в заборе из матки специальной иглой маленькой порции ее содержимого с целью определения набора хромосом плода. Метод даёт почти 100% гарантию. Вторая методика осуществляется на сроке 16-18 недель и называется амниоцентез.
Посредством небольшого прокола забирают немного околоплодной жидкости также для исследования хромосомного состава. Достоверность метода — 99%. Кордоцентез — инвазивный метод, при котором на исследование берут кровь пуповины плода.
Ещё раз напомним, что к этим методам врачи прибегают только в исключительных случаях.
В большинстве беременностей точно определить пол ребёнка можно ближе к 24 неделе беременности, на втором плановом УЗИ, после того, как будущая мама впервые почувствовала шевеления своего малыша. И кого бы вам ни предсказало УЗИ, не расстраивайтесь. Главное — здоровый и крепкий ребёнок. А сестричку или братика вы родите ему в следующий раз.
Специально для beremennost.net Елена ТОЛОЧИК
Источник: https://beremennost.net/na-kakom-sroke-mozhno-opredelit-pol-rebenka
На какой неделе можно узнать пол ребенка по узи

За пол эмбриона отвечает хромосомный набор. Зародыш формируется из соматических клеток, которые содержат определенный набор хромосом — 23 пары. У мужчин и женщин 22 пары хромосом идентичны, а 23-я — отличается. Женский набор хромосом в генетике обозначается как ХХ, а мужской — ХY.
Рацион питания, диета, режим половой жизни, лунные фазы, китайский календарь зачатия не имеют под собой научного обоснования. За то, кто родится, отвечает хромосома, которую принесет сперматозоид яйцеклетке.
Яйцеклетки содержат женскую хромосому Х, а сперматозоид может нести в себе хромосому Х и Y. Вероятность того, что оплодотворение произойдет с одноименным или разноименным набором хромосом, — один к одному.
Единственное, чем генетика объясняется, что девочек рождается больше, чем мальчиков, — это устойчивость женской хромосомы. Сперматозоиды с женской хромосомой более устойчивы к воздействию агрессивной среды организма, но они менее подвижны, чем сперматозоиды, несущие хромосому Y.
Выходит, что ответственный за формирование пола ребенка, — будущий отец.
pexels.com
Безусловно, знание того, что влияет на пол малыша, заставляет многих стремится управлять природой и генетикой. Все, что не делается, все к лучшему. Дождитесь заветных недель, когда пол ребенка УЗИ сможет показать с большей вероятностью. Встретьте малыша улыбкой и будьте самыми счастливыми родителями на свете!
Мечтаете о сыне? А муж спит и видит, как вы будете воспитывать дочку? Гоните мучения и сомнения прочь: ученые разработали таблицы, помогающие определить пол ребенка по группе крови родителей. Подробности в статье «Как узнать пол ребенка по группе крови родителей»
Внимание! Материал носит лишь ознакомительный характер. Не следует прибегать к описанным в нем методам лечения без предварительной консультации с врачом.
На каком сроке можно определить пол ребёнка на УЗИ
Половую принадлежность будущего ребёнка специалист по УЗИ определяет уже с четвёртого месяца беременности, но на сроке 12–13 недель вероятность точного определения ещё не превышает 50%.
А вот на 14–17 неделе врачи ошибаются гораздо реже. Поэтому рассчитывать при первом скрининге узнать пол малыша не стоит.
Медики, не будучи уверены в результатах своих наблюдений, предпочитают говорить, что ничего не видно.
Второе УЗИ делают на 20–24 неделе беременности и это время считают идеальным для определения пола малыша. Половые органы уже сформировались, как и необходимые условные рефлексы для жизни. Обычно скрининг назначают после первого шевеления плода.
ПОЛЕЗНАЯ ИНФОРМАЦИЯ: Двойня после ЭКО
В случае неудачи и во время второго УЗИ можно подождать третьего, на 33–36 неделе. Но к этому времени малыш уже довольно крупный, поэтому теснота материнской утробы заставляет иногда принимать позы, в которых рассмотреть его половые органы трудно.
Наиболее точно определить пол будущего малыша удаётся во время второго УЗИ до 25 недель
Мне, к слову, только на третьем УЗИ сказали, что будет сын. Он всячески отворачивался и готовил сюрприз родителям. Возможно, определённые затруднения возникли из-за моего лишнего веса. Слышала, что многие полные мамы жалуются на подобные трудности с определением пола детей.
Опытные врачи могут сказать, мальчик или девочка родится на свет, по следующим признакам, заметным по УЗИ:
- форма черепа. Девочки имеют череп более округлой формы, чем у мальчиков. Мужская голова и подбородок на ней имеют чаще всего угловатые очертания;
- угол между спиной и предполагаемыми половыми органами. Если угол условного треугольника меньше 30 градусов, скорее всего, это девочка, а у мальчиков угол больше;
- пуповина мальчиков обычно плотнее и толще девчоночьей. Околоплодной жидкости в плаценте с сыновьями значительно больше;
- плацента. Недавно учёные заметили ещё один признак, эффективность которого всё ещё вызывает у некоторых сомнения, но наблюдения показали, что идея имеет право на жизнь. Плацента располагается не прямо по условной линии, разделяющей женщину на левую и правую стороны. Девочки отклоняются влево, а мальчики — вправо.
Причины возможных неудач в диагностике
Ни одно ультразвуковое исследование не даёт результат 100%, максимум 85–90% достоверности. Причинами неудач в определении пола могут быть следующие:
- неопытность врача или устаревшее оборудование. Отсутствие опыта мешает специалисту по УЗИ заметить косвенные признаки, если ребёнок закрывает свои половые органы. А если врач о них знает и помнит, может не совсем правильно трактовать;
- слишком маленький срок беременности. До 14 недель попытки определить пол терпят неудачу, но если женщина настаивает, ей могут сообщить предположение. В свою очередь, будущая мама воспринимает предположение врача, как факт;
- малыш слишком активный. Неслышимый взрослыми ультразвук плодом воспринимается очень громким и ребёнок пытается ускользнуть от некомфортных ощущений. Он начинает совершать интенсивные движения, затрудняющие диагностику;
- разница в показаниях второго и третьего УЗИ. Бывает, на 22–25 неделе определяется мальчик, а УЗИ в 33 недели показывает девочку. В этом случае верным, скорее всего, окажется результат более раннего скрининга.
ПОЛЕЗНАЯ ИНФОРМАЦИЯ: Правовая природа суррогатного материнства
Большие половые губы девочки под немного другим углом легко принять за мальчишескую мошонку, особенно в отсутствие опыта у специалиста по УЗИ-диагностике
Иногда случается, что обещают мальчика, а рождается девочка. Такое происходит, если врач ошибочно принимает часть пуповины или распухшие из-за гормонов половые губы за пенис. Вероятность подобной ошибки не превышает 3%.
Ещё меньше — до 1,5% — вероятность принять мальчика за девочку. Пенис труднее спутать с половыми губами, но врачи тоже люди и не застрахованы от ошибок. Некоторые дети до рождения не дают рассмотреть свои половые органы, крепко сцепив ноги и зажав между ними пенис и мошонку.
Малыш-то всё равно ваш, какого бы пола он ни был.
Виды вмешательств для определения срока беременности
Кроме привычного абдоминального УЗИ (через поверхность живота) иногда врачи вынуждены применять трансвагинальный способ исследования при подозрении на внематочную беременность.
С девятой недели уже можно предположить пол будущего ребёнка, но риск прерывания беременности высок и метод обследования через влагалище стараются избегать.
К тому же его точность на слишком маленьком сроке вызывает сомнения.
В некоторых случаях используются инвазивные (проникающие) методы диагностики.
Таблица: инвазивные методы обследования беременных
| Метод | Особенности | Срок проведения | Определение пола |
| Биопсия хорионных ворсин | Хорион — это защитная оболочка плода до того как сформируется плацента. Внешняя часть хориона покрыта тонкими ворсинками, анализ которых определяет хромосомный набор эмбриона. | 8–12 недель. | Возможно |
| Амниоцентез | Изучение хромосомного состава амниотической (околоплодной) жидкости. Забор исследуемого материала проводится через прокол брюшной полости и плодного пузыря. На лабораторные исследования уходит от 2 до 6 недель. | С 8 недель и вплоть до 30 в редких случаях. | Возможно |
| Кордоцентез | Позволяет путём изучения клеток пуповины узнать вероятность наследования ребёнком генетических заболеваний крови. Ответ готов через 4–5 дней. | С 18 недель. | Возможно |
| Фетоскопия | Помещённая в амниотические воды видеокамера разрешает детально рассмотреть ребёнка на предмет возможных генетических отклонений. | 18–22 недели. | Возможно |
Несмотря на высокую (до 98%) точность результата, любое проникающее вмешательство повышает риск преждевременного прерывания беременности, а в третьем триместре может спровоцировать роды до срока. Через прокол в плаценту может попасть инфекция от матери, иногда это способно привести к гибели плода.
Благодаря появлению новых, достоверных методов определения патологии плода по крови матери, можно не прибегать к инвазивным методам при малейших подозрениях у врача по УЗИ
Есть ещё некоторые противопоказания к проведению инвазивной диагностики:
- кровотечение из материнских половых путей;
- наличие ярко выраженных спаек в органах малого таза после предыдущих вмешательств;
- отслойка плаценты;
- гнойничковое поражение поверхности живота;
- воспалительные процессы во влагалище и маточной шейке;
- истмико-цервикальная недостаточность (шейка матки неспособна удерживать плод в матке);
- миомы в матке, особенно их большие размеры;
- уже существующая угроза прерывания беременности.
Из-за перечисленных рисков врачи считают разумным применение инвазивных методов определения пола в редких случаях. Только наличие в семье генетических заболеваний, передающихся определённому полу, является прямым показанием к проникающему вмешательству.
Когда формируется половая система плода
Половая принадлежность закладывается в момент зачатия и это никак не зависит от времени, когда произошло оплодотворение — до или после овуляции.
Женские хромосомы неизменны — XX, тогда как сперматозоид содержит XX или XY хромосомы. И вот какой сперматозоид первым успеет попасть к яйцеклетке, от него набор генов и унаследует ребёнок.
Таким образом, учёные установили, что ответственность за пол детей полностью лежит на мужчине.
Первые восемь недель беременности по акушерскому сроку (от последней менструации) эмбрионы не имеют внешних различий, хотя половые клетки начинают формироваться уже в первый месяц от зачатия. С девятой недели внизу брюшной части образуется половой бугорок, который впоследствии превратится в половые органы.
Половой бугорок у мальчиков вытягивается в пенис, который можно рассмотреть уже в 14 недель
К десяти неделям у мальчиков половой бугорок вытягивается и становится похожим на пенис. С четырнадцатой недели начинается выработка тестостерона — гормона мужественности, ускоряющего формирование половых органов. Только яички до шести месяцев остаются в животе, а потом завершают формирование мужских органов, опускаясь в мошонку.
Женские половые органы также формируются из полового бугорка. К двенадцати неделям у девочек уже образуются половые губы и клитор.
Объективно сделать выводы о поле малыша можно с 14 недель.
Источник: https://EkoVsem.ru/other/na-kakom-mesace-govorat-pol-rebenka.html