Если Вы стали замечать, что в позвоночнике появились боли, одной из причин может быть смещение позвонков. Запущенное состояние опасно для здоровья.
- Ощущаете резкие боли или прострелы в пояснице?
- Постоянный дискомфорт при малейшей нагрузке?
- Мучает сильная боль в позвоночнике, которая отдает в ноги?
- Не можете выполнять повседневные дела как раньше?
- Ощущаете дискомфорт во время ходьбы?
Когда произошло смещение позвонков поясничного отдела, важно вовремя обнаружить причины и приступить к лечению.
Об этом мы подробно расскажем в нашей статье. Заболевание достаточно серьезное и может принести значимый вред здоровью. Стоит уделить 5 минут времени и узнать, как избавиться от боли и быть здоровым.
Что такое смещение поясничных позвонков?
Спондилолистез – патологические изменения позвоночного столба, которые характеризуются смещением одного позвонка относительно других. Это может сопровождаться отклонением от оси и другими патологическими явлениями.
Чаще всего заболевание проявляется у пациентов средних лет, после определенного возраста. Сместившийся позвонок раздражает корешки нерва, провоцирует появление сильных болей в позвоночнике.
Как результат, теряется способность нормально двигаться.
Внимание!
Если вовремя не пройти курс терапии, человек может стать инвалидом.
Как распознать недуг и избежать негативных последствий? Для этого следует знать симптомы болезни.
Смещение поясничных позвонков: симптомы заболевания
Симптомы, характерные для данной патологии, будут зависеть от многих факторов. Обращают внимание на место смещения позвоночника, в котором имеются патологические нарушения. Важно учитывать и степень такого смещения.
Защемляется окончание нерва, это приводит к проявлению основной симптоматики.
Наблюдается появление:
- Отека;
- Ноющей или острой боли;
- Воспалительного процесса.
Последствия таких изменений негативно влияют на качество и продолжительность жизни человека. Может нарушаться иннервация внутренних органов. Это приводит к развитию патологических нарушений в мочеполовой системе, органах пищеварения. Симптомы зависят от степени нарушения.
Выделяют следующие признаки:
- Острые прострелы в пояснице;
- Боли в зоне седалищного нерва;
- Ощущения боли в нижнем отделе позвоночника;
- Вынужденное положение или скованность в движениях;
- Спазмы мышц нижних конечностей.
Не все симптомы проявляются сразу. Многие из них способны появится только спустя несколько лет.
Степени развития спондилолистеза
Первая
Боли появляются периодически и усиливаются после выполнения какой-либо физической нагрузки.
Вторая
Характеризуется скованностью движений и постоянными болями в позвоночнике.
Третья и четвертая стадия
Отмечается нарушения со стороны кишечника, желчного пузыря. Походка нарушена. Можно заметить шарканье ногами или хромоту.
Способствует появлению таких патологических нарушений в организме больного ряд причин.
Причины смещения поясничных позвонков
Рассмотрим, что сможет послужить предпосылкой появления спондилолистеза.
Почему смещаются позвонки и болит поясница?
Самой распространенной причиной являются чрезмерные физические нагрузки. Проблемы чаще всего выявляют у спортсменов. В результате растяжений и нагрузок нарушается структура позвоночника. Спортсмены страдают от постоянных ушибов, ударов, падений и вывихов. Это ведет к смещению позвонков. Наиболее травматичные, это игровые виды спорта, тяжелая атлетика.
Причиной могут послужить возрастные изменения межпозвоночных дисков. С годами происходит истончение и смещение межпозвоночного хряща.
Ежедневная статическая нагрузка на позвоночный столб тоже влияет на изменение расположения и смешение позвонков.
Одной из причин является оперативное вмешательство на спинном мозге и ослабление мышц спины.
У человека имеется 5 поясничных позвонков. Наиболее часто отмечают смещение 3 и 4 поясничных позвонков. Отсутствие своевременного лечения приводит к сильным болям в позвоночнике.
Смещение поясничных позвонков: диагностика
Очень важно вовремя обнаружить проблему и приступить к её лечению. Первым делом следует посетить врача.
Какой врач занимается лечением спондилолистеза?
Диагностикой и лечением заболевания обычно занимается невролог. При необходимости, он направит к ортопеду или мануальному терапевту. Поставить точный диагноз можно на основании симптоматических признаков и данных исследования. Специалист собирает анамнез и уточняет жалобы больного.
Важно определить:
- Интенсивность болей и характерные симптомы;
- Место расположения патологии;
- Степень повреждения и смещения;
- Длительность болей в позвоночнике.
Помните!
Во время опроса, следует честно отвечать на вопросы врача.
Обычно специалист проводит ощупывание позвоночника и конечностей. Проводит
визуальный осмотр, выявляет отклонение позвоночника от оси. Врач может попросить сделать различные движения. Такой тест позволит определить место расположения патологии.
Обязательно проводят инструментальные исследования.
Диагностика включает в себя:
- Рентгенографию в нескольких проекциях;
- Магнитно-резонансную томографию (МРТ);
- Компьютерную томографию (КТ).
По снимку врач сможет поставить достоверный диагноз. Только после полного обследования, следует приступать к лечению. Классический курс терапии назначается специалистом, при этом обязательно учитывается особенность организма больного и степени нарушения.
Последствия и осложнения смещения поясничных позвонков
Запущенная патология, позднее обращение к специалисту, все это становится причиной серьезных осложнений. Угрозой для здоровья может стать неправильно назначенный курс терапии.
Чем опасно невнимательное отношение к своему здоровью?
К возможным осложнениям относят:
- Параличи и парезы нижних конечностей;
- Снижение или отсутствие чувствительности в ногах и спине;
- Невозможность контролировать выведение мочи из организма и дефекацию;
- Постепенное деформирование позвоночного столба;
- Формирование хронического болевого синдрома;
- Переломы отростков;
- Образование протрузии, грыжи.
Хронизация патологии приводит к тому, что прием препаратов становится не эффективным.
Стоит отметить, что обращение к врачу и соблюдение всех рекомендаций не гарантирует благоприятный исход. Важно постоянно уделять время для занятий гимнастикой, следить за правильной осанкой. В этом случае можно избежать осложнений.
Узнать, как вылечить смещение позвонков поясничного отдела можно на следующем видео:
Смещение позвонков поясничного отдела: профилактика
Для сохранения здоровья важно выполнять меры профилактики. Они способствуют предупреждению развития заболевания и смещения.
Важно всегда держать ровно осанку. Рабочее место должно быть правильно организовано. За столом следует сидеть прямо, не склоняться вперед. Не рекомендуется находиться длительное время в одном положении.
Избегайте длительного стоячего положения. В том случае, когда необходимо долго стоять, смена положения тела должна происходить через каждые 10 минут. Рекомендуется работать на ортопедическом стуле или стоя на коленках. Это поможет снизить нагрузку на позвоночник.
Для правильного положения тела во время сна, стоит приобрести ортопедический матрас. При этом кровать не должна быть слишком мягкой.
Полезно заниматься физическими упражнениями. Дозированная нагрузка поможет укрепить мышечный каркас спины. Если есть искривление, врач может назначить носить корсет.
Смещение поясничных позвонков: как лечить?
Выделяют два основных метода. Это консервативное и оперативное лечение.
Первый вид включает проведение гимнастики, прием лекарственных препаратов и различные физические упражнения.
Проведение операций обеспечивает одномоментное восстановление смещения двух позвонков.
Важно!Любое оперативное вмешательство на позвоночнике имеет свои последствия. Даже после успешной операции проводят длительный восстановительный период.
Как вправлять смещенный поясничный позвонок вы можете посмотреть на видео:
https://youtube.com/watch?v=VNRVZXMj7aI
Все методы направлены на реабилитацию и снятие болевого синдрома у пациента.
Следует отметить!
Методику лечения смещения позвоночника подбирает только лечащий врач по результатам обследования.
При нарушениях третьей степени, рекомендуется проведение оперативного вмешательства. В остальных случаях можно обойтись консервативным лечением.
Массаж
Выполняется только специалистом. Для лучшего эффекта рекомендуется пройти курс, который будет занимать несколько сеансов. Курсовой массаж снимает спазмирование мышц и боли в спине, восстанавливает кровоток и укрепляет спинные мышцы.
Гимнастика
Является одной из частей комплексного лечения. ЛФК позволяет укрепить «корсет из мышц». Упражнения должны выполняться с особой осторожностью, без резких движений. Для укрепления спины полезна зарядка и занятие йогой.
Обратите внимание!
Все комплексы упражнений составляются специалистом по результатам оценки степени смещения, тяжести патологии и физических возможностей пациента. Выполнять те или иные комплексы стоит при отсутствии болевого синдрома.
Когда техника вызывает боль, нужно внести коррективы. Посоветуйтесь с инструктором ЛФК, если упражнение вызывает сомнение.
Ознакомится с техникой выполнения ЛФК, Вы можете на этом видео:
https://youtube.com/watch?v=x2MC0AmjCtY
Тренажер Древмасс
Эффективно лечить боль в позвоночнике можно за 5 — 10 минут в день.
Для этого применяют специальный тренажер – Древмасс.
Его действие основано на трех принципах:
- Тракция – вытяжение позвоночника;
- Формирование мышечного корсета;
- Улучшение кровоснабжения.
Заниматься можно в домашних условиях. Регулярные занятия помогут избавиться от болей в спине. Массажер удобен в использовании, подходит как взрослым, так и детям.
Это отличное средство при хронической боли, подходит для реабилитации при травмах спины. Древмасс апробирован ведущими специалистами и рекомендован для регулярного применения.
Появились сомнения?
Сделайте заказ, прямо сейчас и приступайте к занятиям.
Просто заполните форму на сайте.
Берегите свое здоровье!
Ваша команда Drevmass
Заказать звонок
Источник
Смещение позвонков в области поясницы или, как его еще называют в медицине, спондилолистез – это явление, вызванное дегенеративными изменениями межпозвоночных дисков или врожденным дефектом тела позвонка. Зачастую врачи диагностируют поражение именно 5-го поясничного позвонка, что сопровождается переломом ножки. Как правило, смещение позвонков поясничного отдела, симптомы и лечение которого рассмотрены ниже, носит приобретенный характер и возникает при механических повреждениях позвоночника.
Смещение позвонков поясничного отдела — симптомы и лечение
Причины смещения
Спровоцировать смещение позвонков в районе поясницы могут различные факторы, к самым распространенным из которых относятся:
- чрезмерные физические нагрузки на спину, в частности, на позвоночник;
Спондилолистез
- опухолевые заболевания костей позвоночника или мышечная атрофия в поясничном отделе;
- дегенеративные изменения структуры позвоночника, связанные с возрастом пациента. Не секрет, что с годами толщина межпозвоночного хряща уменьшается;
- последствия ранее перенесенных хирургических операций на позвоночнике или спинном мозге. Подобные вмешательства нередко снижают опорные функции позвоночника, в результате чего со временем может возникнуть спондилолистез;
- механические повреждения поясничного отдела позвоночника (падения, вывихи, ушибы). Как правило, с такими повреждениями чаще всего сталкиваются профессиональные спортсмены, например, гимнасты или тяжелоатлеты;
- генетическая предрасположенность к смещению. Речь идет о пороках межпозвоночных дисков врожденного характера, на фоне которого и происходит его смещение. В медицине данная форма называется диспластическим спондилолистезом.
Спондилолистез — что это
Обратите внимание! Часто причиной развития болезни выступают сразу несколько факторов, при сочетании которых происходит быстрый прогресс смещения позвонков. При наличии хотя бы одного из указанных выше факторов можно смело обращаться к специалистам для проведения дополнительного обследования.
Стадии
Процесс смещения позвонков отличается постепенным течением и делится условно на несколько стадий, которые отличаются друг от друга степенью выраженности патологического процесса. По мере изменения стадий признаки заболевания усиливаются.
Степени спондилолистеза позвоночника
Таблица. Стадии смещения позвоночника в поясничном отделе.
| Стадия смещения | Описание |
|---|---|
| Пролапс | Начальный этап развития болезни, при котором диски позвоночника смещаются не более чем на 1-2 мм. Пролапс, как правило, не сопровождается никакими симптомами (болезненные ощущения могут возникать лишь при физических нагрузках или резких движениях). |
| Протрузия | Смещение позвоночного диска на этой стадии уже более существенное – в районе 10-12 мм. Появляется тянущая боль в районе поясницы, которая лишь усиливается при активных движениях. |
| Экструзия | Серьезное смещение позвонков, которое сопровождается проседанием позвоночного столба и, как результат, полным истощением межпозвоночных дисков. Экструзия сопровождается болевыми приступами, снижением подвижности в поясничном отделе и поражением нервных окончаний. |
| Секвестрация | Некоторые суставы позвоночника подвергаются серьезным искажениям, из-за чего ломота в теле и болевой синдром могут обрести хроническую форму. Также пациент жалуется на затекание нижних конечностей, судороги и постоянную усталость. |
Существует и финальная, 5 стадия, сопровождающаяся полным вывихом позвонка, который в результате выпадает. По достижению конечной стадии смещения позвонков больной становится инвалидом.
Вывих поясничных позвонков
Характерные симптомы
Основным симптомом спондилолистеза является болевой синдром, который сопровождает патологию на всех стадиях ее развития. Болезненные ощущения, поражающие нижнюю часть спины, могут усиливаться при физической активности, в частности, при растяжении позвоночника в поясничном отделе. К другим признакам относят скованность движений и напряженность мышц подколенного сухожилия.
Боль в пояснице
Цены на массажеры
При защемлении нерва многие пациенты сталкиваются с дополнительными симптомами спондилолистеза:
- слабость в ногах;
- покалывание в нижних и верхних конечностях;
- снижение чувствительности;
- боль в области таза или в ногах.
В редких случаях сильное сдавливание нервов провоцирует развитие синдрома конского хвоста, нарушение функций мочевого пузыря или кишечника.
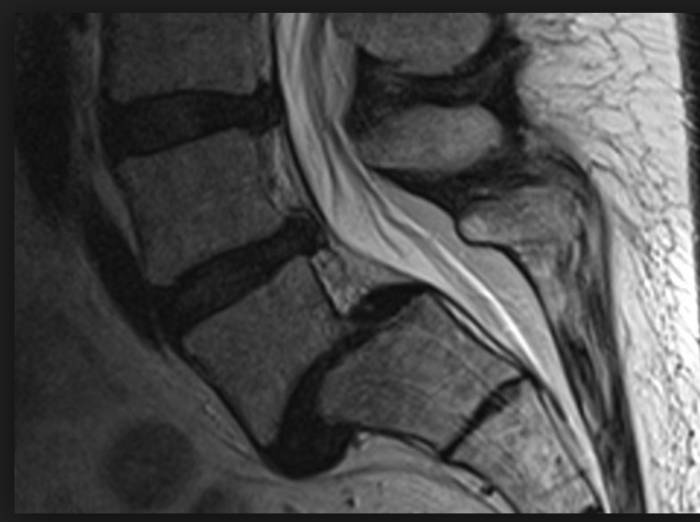
Спондилолистез на МРТ
Особенности диагностики
Определять, какой именно способ лечения смещения позвонков подойдет лучше, должен только врач-ортопед или травматолог, поэтому при появлении первых подозрительных признаков нужно обращаться к специалисту для проведения диагностического обследования. К основным диагностическим процедурам относятся:
- спондилография;
- компьютерная томография (КТ);
- рентген поясничного отдела позвоночника с функциональными пробами;
- магнитно-резонансная томография (МРТ);
- пальпация и визуальный осмотр.
Диагностика заболевания
С помощью всех вышеперечисленных мероприятий врач сможет определить локализацию поражения позвоночника, ее характер и степень. Также это позволяет установить сопутствующие защемления нервов. Разумеется, при постановлении диагноза обязательно нужно учитывать клинические проявления, на основе которых и составляется курс терапии.
Если вы хотите более подробно узнать, как делать упражнения и какие нужны медикаменты для восстановления смещения позвонков поясничного отдела, вы можете прочитать статью об этом на нашем портале.
Методы лечения
Эффективность лечения смещения позвонков напрямую зависит от причинного фактора, спровоцировавшего патологию. В медицине применяется два основные метода – консервативный и хирургический. Если говорить о консервативной терапии, то данный метод подходит только на ранних этапах развития болезни, то есть на первой и второй стадиях. Максимального эффекта можно добиться при комплексном подходе, который включает прием медикаментов, ЛФК, массаж, рефлексотерапию и физиотерапию. Рассмотрим каждый из методов лечения спондилолистеза отдельно.
Как лечить смещение позвонков
Аптечные препараты
Основная задача медикаментозной терапии заключается в снятии воспалительного процесса, болевого синдрома и устранении других симптомов болезни. К наиболее эффективным группам препаратов относятся:
- хондропротекторы – способствуют регенерации пораженных хрящевых тканей;
- гормональные препараты – создают блокаду для снятия болезненных ощущений и других неприятных признаков заболевания;
- миорелаксанты – предназначены для снижения тонуса скелетной мускулатуры;
- нестероидные противовоспалительные препараты (НПВС) – уменьшают воспаление, лихорадку и боль;
- спазмолитики – эффективные препараты, уменьшающие спазм гладкой мускулатуры.
Спазмолитики
На заметку! Лекарственные средства способны оказывать как генерализованное, так и локализованное (местное) воздействие на организм. При спондилолистезе используются разные формы препаратов: мази, инъекции, крема и таблетки.
Лечебный массаж
При лечении многих болезней позвоночника врачи назначают массаж, при регулярном выполнении которого мышцы спины расслабятся и восстановятся, а кровообращение улучшится. Крайне важно приступать к терапии массажем на раннем этапе развития спондилолистеза, так как это позволит улучшить осанку. Но нельзя забывать о противопоказаниях, среди которых стоит выделить обострение болевого синдрома. В таких случаях от посещения массажиста на какое-то время нужно отказаться.
Лечебный массаж
Массажные столы и стулья
ЛФК
Еще один способ улучшить кровообращение в области поясницы и предупредить застойные процессы – это лечебная физическая культура. Существует целый ряд упражнений, назначаемых врачами при смещении позвонков в поясничном отделе. Их нужно выполнять регулярно, но без фанатизма. Рекомендации врачей, которые нужно соблюдать при выполнении гимнастических упражнений:
- займите вертикальное положение, руки вдоль туловища, ноги на ширине плеч – это исходное положение для выполнения упражнения;
- процедуру необходимо проводить регулярно, а ее длительность должна быть примерно одинаковой;
- при появлении болезненных ощущений в позвоночнике немедленно прекратите занятие. Боевой синдром может свидетельствовать о том, что смещение позвонков стало еще большим. Это значительно усугубит ситуацию;
- лечебную гимнастику, как правило, назначают не на первой, а на последней стадии терапии спондилолистеза. На это время болевой синдром уже должен быть устранен, а мышечные спазмы сняты.
Лечебные упражнения
При желании, ЛФК можно выполнять и дома, но при условии, что пациент будет регулярно посещать лечащего врача для контроля состояния его здоровья.
Рефлексотерапия
Дополнить медикаментозное лечение и массаж можно с помощью мануальной процедуры, а также иглоукалывания. Рефлексотерапия оказывает на организм общеукрепляющее воздействие, активизируя обменные процессы и улучшая циркуляцию крови в пораженной области.
Иглоукалывание
Физиотерапия
При смещении позвонков эффективны следующие виды физиотерапевтических процедур:
- парафинотерапия;
- солевая ванна;
- электрофорез;
- грязелечение и другие.
Применяться данные мероприятия могут в комплексе или по отдельности. Выбором наиболее подходящих процедур должен заниматься лечащий врач.
Электрофорез
Аппарат для электрофореза
Народные средства
Облегчить симптомы спондилолистеза можно и с помощью средств народной медицины. С этой целью используются специальные компрессы, приготовленные на специальных лечебных составах.
Народные средства
Ниже приведены эффективные рецепты:
- смешайте в одной посуде по 2 ст. л. нутряного сала, меда и почек черного тополя. В итоге у вас должна получиться мазь густой консистенции, ее после остывания необходимо смешать с 1 ст. л. камфорного масла. Хранить готовое средство нужно в холодильнике;
- залейте 30 мл чистой воды 20 г листьев хрена и варите на слабом огне до кипения. Достаньте теплые листья и приложите их к больному месту, а сверху укутайтесь теплым пледом или одеялом;
- смешайте 50 мл меда с 30 г измельченных плодов каштана, затем оставьте смесь настаиваться в темном помещении на протяжении 3 дней. Перед применением обязательно взболтайте.
Каштаны
Обратите внимание! В народной медицине при смещении позвонков также используется горчица, мумие, яблочный уксус, прополис и тимьян. Но даже если вы отдали предпочтение народным методам, не стоит забывать, что они помогут лишь временно устранить боль, поэтому от традиционного лечения отказываться нельзя.
Оперативное вмешательство
Если консервативные методы лечения не принесли желаемого результата, то врачи вынуждены прибегнуть к оперативному вмешательству. Стабилизация позвоночника после смещения выполняется двумя способами;
- если позвонки сдвинулись вперед, то для операции делается разрез на спине;
- при смещении позвонков назад рассечение проводится уже через стенки туловища пациента.
Хирургическое лечение
По завершению процедуры хирург устанавливает специальный фиксирующий трансплантат на месте смещенных позвонков, который представляет собой небольшую металлическую пластинку. При оперативном вмешательстве окружающие ткани не травмируются, что позволяет избежать всевозможных осложнений. К тому же крепежные системы постоянно улучшаются и становятся более надежными и долговечными.
После операции на позвоночнике больного ждет реабилитационный период длительностью от 1 до 2 месяцев, на протяжении которого он должен соблюдать строгий постельный режим (в период реабилитации двигаться нельзя). По статистике, подобные операции дают положительный эффект практически во всех случаях и смещение позвонков прекращается.
Оперативное лечение спондилолистеза
Возможные осложнения
При неправильном или несвоевременном диагностировании смещения позвонков, когда лечение отсутствует или присутствует, но некачественное, могут возникнуть серьезные осложнения:
- судороги и болезненные ощущения в нижних конечностях;
- общая слабость организма;
- нарушение циркуляции крови;
- боль в поясничном отделе позвоночника;
- проблемы с работой мочеполовой системы;
- частое мочеиспускание или, наоборот, недержание;
- расстройство пищеварительных функций, проявляющееся в виде диареи или запора.
Одним из осложнений может быть боль в пояснице
Чтобы избежать всех этих неприятных последствий, необходимо сразу обращаться за помощью к врачу, как только вы заметили подозрительные симптомы. При любых неприятных или болезненных ощущениях в позвоночнике лучше обследоваться у вертебролога.
Меры профилактики
Чтобы впредь не сталкиваться с различными заболеваниями позвоночника, необходимо регулярно выполнять профилактические мероприятия. В первую очередь, профилактика спондилолистеза заключается в регулярном выполнении гимнастики, которая состоит из специальных упражнений, способствующих укреплению мышц пресса и спины. Необходимо уделять упражнениям всего 5-10 минут в день, чтобы существенно снизить вероятность смещения позвонков.
Профилактика спондилолистеза
Видео – Симптомы смещения позвонков поясничного отдела
Другие болезни — клиники в
Выбирайте среди лучших клиник по отзывам и лучшей цене и записывайтесь на приём
Другие болезни — специалисты в Москве
Выбирайте среди лучших специалистов по отзывам и лучшей цене и записывайтесь на приём
Рекомендуем статьи по теме
Источник









