Лимфоузлы в лёгких: причины увеличения, расположение и лечение воспаления

Лимфоузлы в лёгких выполняют чистку белковой суспензии, всасывая и возвращая в структуру кровообращения. Попавшие в белок бактерии проводят атаку на лимфатические сосуды, инициируя воспаление.
При поражении узла в корне лёгкого или средостенном комплексе нарушаются функции дыхательной структуры. Воспаление лимфоузлов в лёгких может привести к необратимым последствиям. При обоснованных подозрениях надо провести полную диагностику лёгких.
На ранних стадиях воспаления патологию можно вывести из организма без последствий.
Лимфоузлы – это аванпост организма человека, реагирующий на появление чужеродных микроорганизмов в теле. Неуютные ощущения в лимфоузлах или увеличение – первый признак того, что в теле человека начинается воспалительный процесс.
Место локации узла, вызывающего дискомфорт, укажет на то, какой орган может быть поражен патологией. Деформация, боль в подмышечных лимфоузлах означает инфекцию в грудной клетке или заражение бациллами структур молочной железы.
Эпидемиология
Детский организм перед вирусами, чем взрослый. В педиатрии проблема с органами дыхания считается одной из самых распространённых патологий. Порог подверженности воспалениям по возрастной категории:
- дети – 40%;
- молодёжь 18-30 лет – 20%;
- от 30 до 50 лет – 25-30%.
Процент злокачественных образований, когда увеличен внутрилёгочный лимфоузел, достигает 30%. Иные болезни, связанные с воспалением узлов в лёгких, вызывают увеличение лимфатических сосудов в 20%.
Воспаление лимфоузлов, причины увеличения
Увеличение лимфы означает присутствие заразы в организме. Опухший, вызывающий боль узел – это реакция иммунной системы человека на поражение бактериями. Причина деформаций:
- Плеврит – это поражение плевры, чревато абцессами.
- Пневмония – осложнение воспаления лёгких. Опасно поражением определённой группы лимфатических сосудов.
- Туберкулёз лёгких – заразная болезнь, поражает как внутрилёгочную лимфу, так и подмышечные лимфоузлы.
- Бронхит – острое воспаление сосудов при хроническом течении заболевания.
- Воспаление узлов в процессе возникновения злокачественных образований в организме.
- Гепатит С – при заражении задевает весь организм человека.
- Лимфогранулематоз – онкологическая паталогия, воспаление наблюдается в любом лимфоузле.
- Саркоидоз – процесс воспаления при болезни вызывает образование гранулем в организме.
Воспаление лимфы наблюдается у ВИЧ-инфицированных на постоянной основе. Слабость иммунной системы предоставляет благодатную почву для размножения микроорганизмов.
Метастазное поражение или рак лёгких создают проблемы органам, которые находятся по соседству. Это желудочно-кишечный тракт, пищевод и толстая кишка.
Следует понимать, что лечение воспалённых лимфоузлов при онкологии затратно и малоэффективно.
Лимфаденит – также одна из причин воспаления лимфатических сосудов груди. Когда в дыхательной системе идёт процесс инфицирования, лимфоузлы обязательно отреагируют, увеличатся в размерах.
Лимфоузлы в теле человека
Классификация воспалений
Воспалительный процесс лимфоузлов лёгких можно разделить на несколько стадий. От заражения бактериями, до полноценного заболевания. Классифицируются воспаления по фазам:
- 1 фаза – это поражение внутригрудных узлов микроорганизмами;
- 2 фаза – появление паталогии в корнях лёгких без образования фиброза;
- 3 фаза – поражение сердечно-лёгочной системы, с образованием фиброзов очагового и диффузного характера.
Следует обратить внимание и на развитие саркоидоза. Патология может прогрессировать незаметно, без симптомов, а может проявиться неожиданно и развиваться очень быстро. Болезнь способна поражать организм человека внезапно.
Симптоматика
Воспалённая лимфа имеет схожий характер симптомов с другими патологиями узлов. Появление дискомфорта в области груди – это серьёзный сигнал для беспокойства. Если человек внезапно начал ощущать:
- сильную слабость, быструю утомляемость;
- усталость после сна; депрессию; раздражительность;
- повышение температуры; лихорадочность;
- боли и тяжесть в груди; потливость;
- болезненные ощущения в мышечной ткани;
Стоит не раздумывая обратиться к врачам, провести диагностику дыхательной системы! Сделать флюрографию на рентгене. Пройти обследование на КТ. Давление сосудов, размеры которых влияют на бронхи, вызывает кашель и мокроту.
Если при этом нет симптомов воспаления периферийных связок, лечение болезни не вызовет сложности. Воспаление одновременно лимфоузлов в лёгких и других узлов с периферии чревато осложнениями, требует длительной терапии.
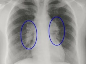
Кальцифицированные лимфоузлы на рентгене
Диагностика
Установить точный диагноз поможет клинический метод и облучение на рентгене. Флюрография определит наличие или отсутствие саркоидоза. Система подхода подразумевает назначение трансбронхиальной биопсии для обследования содержимого лимфоузла. Последствия воспаления сосудов выявляют, анализируя пробы:
- крови, мочи;
- реакции на пробу Манту;
- биохимии состояния почек, печени.
По результатам анализов забора крови определяют размеры СОЭ, диагностируют лейкоцитоз и лимфоцитоз. Опасны как для организма взрослого пациента, так выявленные и у ребёнка при воспалении лимфы очаговые диссеминации.
Гистология биоптата покажет наличие или отсутствие эпителиоидных гранулём. При туберкулёзе лёгких с воспалением лимфатических сосудов в органах дыхания может находиться кальцинированный шлак.
Его выявляют специальной диагностикой.
Народная медицина
Народная медицина успешно дополняет медикаментозное лечение воспалений. Поражение дыхательной структуры провоцирует тяжёлое потрясение человеческого организма. Для борьбы с данным заболеванием народные целители рекомендуют средства:
- настойка эхинацеи – действенный антисептик;
- отвар из листьев ежевики с добавлением измельченной коры лесного ореха;
- жадеит зелёный – при соприкосновении с местом патологии очищает организм;
- желтокорень канадский молотый;
- щадящие компрессы из льна, тысячелистника, омелы.
Использовать народные средства допустимо только после консультации с врачом! После рекомендаций можно принимать настойки и отвары комплексно с медикаментами.
Медикаментозное лечение
Повреждения патологического толка, выявленные после заражения сосудов, двусторонние, симметрично расположены относительно друг друга. После проведения диагностики и наблюдения динамики роста или спада патологии назначается лечение. Применяют препараты нестероидного толка:
- Нимесил; Диклофенак; Кеторолак; Ибупрофен (применять внутрь, мази использовать внешне).
- Эфералгон; Панадол; Нурофен; Ибупром (выписывают детям в виде сиропов);
При поражении лимфодемитом: Преднизолон, Гидрокортизон, Дексаметазон.
Мази, гели успешно используются в процедурах физиотерапии. Основным источником инфекции выступают вирусы и бактерии. Для борьбы с ними врачи рекомендуют антивирусные препараты и антибиотики. Востребованы медикаменты с иммуномоделирующими эффектами.
- Ремантадин, Циклоферон, Амиксин, Арбидол (помогут справиться с вирусами),
- Гроприносин, Изопринозин (способствуют усилению иммунитета).
Антибиотики желательно принимать после теста на совместимость. Лечение проводить под наблюдением врачей. Самолечение чревато тяжёлыми осложнениями.
Осложнения
Игнорирование симптомов, несвоевременная диагностика, несоблюдение базовых санитарных норм – часто приводят к серьёзным осложнениям воспаления лимфоузлов в лёгких, таким как:
- Заражение крови, образование лимфостаза.
- Гнойные размягчения и образование абцессов.
Раннее обнаружение и лечение больных узлов приводит к тому, что орган приходит в норму в течение 4-6 недель. Запущенное состояние организма, вызванное осложнениями, потребует длительного и не всегда эффективного лечения.
Ответ, почему система человека подвергается поражению саркоидозом, неоднозначен. Бытуют разные мнения на этот счёт. Есть сторонники теории, что заболевание передаётся на генетическом уровне.
Есть наблюдения случаев, когда организм поражает системный приём медикаментов с последующей на них аллергией. Опасны последствия, возникающие при раке лёгких.
Они приводят к развитию лимфом, которые в тандеме с новообразованиями создают огромные конгломераты поражения при сливании.
Защитный заслон из лимфатических связок тесно связан со всеми анатомическими процессами, связанными с дыхательной составляющей организма человека. Поражение инфекцией внутригрудных полостей провоцирует воспаление лимфоузлов.
Увеличение кровотока приводит к отёкам сосудов, способствует их увеличению. Иммунная структура организма, атакуя патоген, расщепляет его.
Образовавшаяся масса некроза попадает в систему лимфоузлов, подавляет её и запускает воспалительный процесс.
Заболевание онкологией лёгких приводит к поражению узлов, находящихся рядом с метастазами. Быстрый рост злокачественных клеток и замещение ими здоровых приводит к необратимым трансформациям в организме. Воспалительная реакция лимфы в груди характерна для многих болезней.
Патология выступает основным фактором, на фоне которого и происходят все трансформации в лимфоузлах. Болевые ощущения вызывает контакт воспалённых узлов с нервными окончаниями.
Одышку и тяжёлое дыхание во время патологии связывают с давлением увеличенных сосудов на органы сердечно-дыхательной системы.
Профилактика
К сожалению, методов по предотвращению процессов воспаления пока не найдено. Патология по определению симптоматическая. Предотвратить её клиническим способом невозможно. Вероятный исход зависит от признаков болезни.
При доброкачественном характере заболевания лечение закончится благоприятным исходом. Если поражение имеет злокачественную основу, последствия непредсказуемы.
Своевременное обращение в качественную клинику с современным оборудованием повышает шанс на успешное лечение.
Врачи-пульмонологи подчеркивают, что воспаление лимфатических сосудов грудной клетки характерно для болезней сердечно-дыхательной направленности. Это объясняется тем, что в данной области организма расположено большое количество лимфоузлов.
Здесь в полосе грудкой клетки находятся бронхолёгочные, паратрахеальные лимфоузлы. Проходит длинный лимфоток. При альвеолите, саркоидозе, метастазах рака молочной железы деформируются прикорневые узлы.
Наличие данных паталогий составляет опасные для здоровья факторы риска воспалений лимфоузлов.
Опасность воспалений
Во время поражения организма микроорганизмами лимфа вступает с ними в контакт, результатом которого будет спазм, закрывающий сосуд, и начало отёка стенок лимфоузла. Развиваются перилимфатические очаги, расположенные по ходу лимфы. Изменения происходят при саркоидозе и лимфогенном карциноматозе.
Перекрытие узла, нарушение дренажа способствует прогрессу инфекционного заражения. Увеличение и болезненность лимфатических сосудов – неотъемлемый атрибут туберкулёза лёгких, присутствует у людей со сниженным иммунитетом.
У ВИЧ-инфицированных размеры ущерба организму наносит система координирования одной болезни с другой.
Важно понимать, что деформация лимфоузлов лёгких – это результат серьёзной патологии. Главное – чтобы человек, столкнувшийся с симптомами обозначенной характерности, не теряя времени, обратился к врачам. Своевременное обращение в медицинское учреждение и полученная помощь гарантированно повышают шанс вылечить заболевание без последствий!
К сожалению, действенной профилактики болезней лёгких, связанных с воспалением грудных лимфоузлов, нет. Профилактическая норма – вести спортивный, здоровый образ жизни, избавление от вредных привычек и правильное питание.
Потребуется соблюдение базовых санитарных правил. Не стоит пренебрегать гигиеной. Стараться избегать места, где есть риск подвергнуться заражению. При малейших подозрениях – обращаться к врачу.
Если придерживаться этих правил, можно минимизировать риск заражения опасной болезнью.
Источник: https://onko.guru/termin/limfouzly-v-lyogkih.html
Лимфоузел в легких: норма и отклонения, возможные заболевания, лечение

Когда у человека воспаляются лимфоузлы корня легкого, значит, в организме происходят воспалительные процессы. Реакция со стороны данных органов говорят об инфекциях, а также опухолях, в которых собирается лимфа.
Если наблюдается воспаление лимфоузлов в легких, либо же в средостенном комплексе, то у человека имеется нарушение в грудной области. Чем раньше провести диагностику и назначить лечение, тем больше шанс полного выздоровления без малейших последствий.
Нормальный размер лимфатического узла у человека – не более 1 см.
Причины воспаления
В лимфатических капиллярах накапливается тканевая жидкость, а также те вещества, которые остаются после обмена веществ в клетках. Именно так и формируется лимфа. Отток проводится при помощи сосудов, которые проходят через описываемые узлы. Благодаря их существованию в организме «фильтруются» посторонние частицы, выводящиеся в дальнейшем из организма.
Лимфатические узлы воспаляются по некоторым причинам, которые опишем далее:
- Лимфаденит. Представляет собой воспаление бактериального, вирусного или асептического характера. Если в легочной системе имеется какой-либо инфекционный процесс, то обязательно воспалятся лимфоузлы в легких. Когда в бронхи или в слизистую оболочку попадают вирусы и бактерии, то воспаляются медиаторы, находящиеся на поверхности. В итоге кровоток усиливается, соответственно лимфоузлы увеличиваются в размерах.
- Лимфаденопатия. Речь идет о проблемах невоспалительного характера. Нередко проблема с увеличенными лимфоузлами в легких начинается при наличии в организме различного рода опухолей и при метастатическом поражении. Воспаляются узлы из-за распространения лимфоидной ткани нетипичной природы.
Если иммунная система правильно реагирует на раздражитель, то у человека воспаляются лимфоузлы. Вместе с кровью в место поражения попадают лейкоциты. Они убивают возбудителя и уничтожают поврежденные клетки.
Если в организме инфекционные агенты становятся слабыми, то у человека они начинают расщепляться в лимфатических узлах. Поэтому последние и воспаляются.
Благодаря ткани в узлах воспалительный процесс не развивается далее.
Данное состояние сопровождается увеличением узлов в области плевры. Вызывать его может обширное количество причин и факторов.
Как уже было сказано выше, 1 см – это норма для лимфатических узлов в организме каждого человека.
Заболевание бывает различной природы: опухолевой и неопухолевой. Далее рассмотрим три основных варианта первого типа болезни, так как рак легких с метастазами в лимфоузлы чаще всего вызывает их увеличение.
Лимфома
Под таким названием скрывается сразу несколько раковых заболеваний, которые охватывают лимфатическую систему в целом. При болезни образуется одна большая опухоль, а ее метастазы распространяются по всему организму. Среди симптомов следует выделить боль в голове, в мышцах и суставах, также может подниматься температура.
Метастазы попадают в легкие и лимфоузлы. В итоге появляется кашель сухого типа, боль в груди, одышка. Со временем, если не начать лечение и не купировать проявления, у больного появятся боли в сердце. Прогноз неблагоприятный.
Даже при осуществлении своевременного лечения после постановки диагноза больные редко проживают более пяти лет.
Лимфолейкоз
Раньше данное заболевание чаще всего встречалось у детей, так как по статистике лимфолейкоз диагностировали у ребят 2-4 лет. Однако на сегодняшний момент ситуация изменилась, страдают от данной болезни и взрослые.
У человека снижается аппетит, появляется слабость и боль в легких. Со временем проявляется анемия, возникают проблемы с дыханием и болит сердце. Без лечения пациент вряд ли проживет больше трех лет, с лечением можно добиться стойкой ремиссии, длящейся больше 10 лет.
Нужно отметить, что рак лимфоузлов легких – частая причина их воспаления.
Метастатическое поражение
Данная проблема возникает из-за ракового воспаления, которое затрагивает или локализуется возле легких. Такими следует отметить проблемы с пищеводом, самим легкими, желудком, толстой кишкой или же грудью.
Нужно понимать, что если проблема уже дошла до лимфатических узлов, то рак уже находится на 3-4 стадии.
Соответственно, прогноз в любом случае будет неблагоприятным, а лечение увеличенных лимфоузлов в легких будет тяжелым и, скорее всего, неэффективным.
Заболевания как причина увеличения узлов
Увеличенные лимфатические узлы являются чаще всего симптомом какого-либо заболевания. Подобное считается нормальной защитной реакцией со стороны иммунной системы. Рассмотрим наиболее популярные причины.
- Плеврит. Характеризуется воспалением плевры, это серозная оболочка. Находится она в грудной полости. Если вовремя не вылечить заболевание, то могут развиваться абсцессы.
- Туберкулез легких. Как правило, болезнь характеризуется воспалением лимфатических сосудов и, соответственно, узлов.
- Пневмония. Болезнь, при которой воспаляются легкие. В зависимости от того, где находится очаг воспаления, поражаются определенные группы лимфатических узлов.
- Бронхит. Как правило, лимфоузлы в легких воспаляются в случае и острого, и хронического.
- Новообразования злокачественного характера. Когда раковые клетки через сосуды попадают в лимфатические узлы, то возникает воспаление.
- Лимфогранулематоз. Данная патология онкологического характера. Затрагивает в первую очередь лимфоузлы. Для данной проблемы характерно воспаление всех групп узлов в организме.
- Вирусный гепатит. При развитии гепатита С у человека начинается сильнейшая симптоматика. Воспалительный процесс затрагивает совершенно весь организм. Помимо увеличенных лимфоузлов у пациента возникает слабость, болит голова.
- Саркоидоз. В легких образуются гранулемы, это и есть очаги воспаления. На первой стадии проявление лишь одно: увеличенные лимфатические узлы. При прогрессировании добавляются повышенная температура (до 37,5 градусов), кашель, боль в груди, отсутствие аппетита и головная боль.
- Вирус иммунодефицита человека. Увеличенные лимфатические узлы в легких – одно из проявлений, которое бывает у каждого второго больного ВИЧ.
Медикаментозные причины
Также лимфаденопатия легких может возникать и при приеме препаратов, влияющих на состояние лимфатической системы в целом. Среди таких средств следует отметить следующие:
- Антибиотики. Большинство препаратов вызывают увеличение лимфатических узлов, поэтому назначать их следует осторожно, особенно если у человека снижен иммунитет.
- Препараты антигипертензивного действия. Такие средства необходимы для снижения артериального давления. Их побочное действие – описываемый симптом.
- Антиметаболиты. Эти препараты необходимы для того, чтобы остановить биохимические процессы в организме. Особенно часто их назначают, если у пациента имеется злокачественное образование на начальной стадии.
Если увеличены лимфоузлы в легких, причину установить будет достаточно сложно, но сделать это нужно быстро, чтобы избежать последствий. Если таковой стал прием какого-либо препарата, то следует снизить дозировку или заменить его аналогом.
Принципы лечения лимфаденита и лимфаденопатии
Лечение увеличенных лимфатических узлов полностью зависит от причины проблемы. Рассмотрим методы лечения при каких-либо первичных заболеваниях:
- При бронхите и пневмонии проводят антибактериальную терапию. Назначаются противокашлевые средства, отхаркивающие и жаропонижающие, если есть необходимость.
- Во время развития туберкулеза врач назначает длительный курс лечения при помощи противомикобактериальных средств.
- При лимфогранулематозе назначается химиотерапия, чтобы снизить давление на лимфоузлы средостения легкого.
- Если у пациента опухоли, то сначала их удаляют, далее проводят химиотерапию и лучевую терапию.
Лечение проблемы при опухолях
Если увеличение узлов вызвано опухолями, то следует использовать следующие методы терапии:
- Иммунотерапия. Благодаря ей повышаются защитные функции организма, и он начинает усиленно бороться с заболеванием.
- Лучевая терапия. Данный метод позволяет уничтожать все раковые клетки за счет радиации. Эту терапию проводят с осторожностью, так как она имеет свои последствия на весь организм в целом.
- Операция. При показаниях можно удалить опухоль и все пораженные части.
- Симптоматические меры. Такая терапия проводится для того, чтобы избавиться от проявлений.
Нужно помнить о том, что, когда рак начинает отступать, лимфатические узлы в легких придут в норму.
Осложнения и последствия
Как правило, все вытекающие осложнения связаны в большей части случаев с основным заболеванием. Среди таковых следует отметить абсцесс и флегмоны, свищи и так далее.
Если увеличены лимфоузлы в легких и в области средостения, то могут возникать обструкции различного характера, нарушение кровотока и проблемы с пищеводом.
Иногда патология приводит к легочной дисфункции, а также сердечной недостаточности. Когда причиной увеличения узлов становится опухолевый процесс, то возникают осложнения со стороны метаболизма.
Начинаются проблемы с почками, кровью и электролитным балансом.
Источник: https://FB.ru/article/387147/limfouzel-v-legkih-norma-i-otkloneniya-vozmojnyie-zabolevaniya-lechenie
Что показывает рентген лимфоузлов

Лимфатическая система играет важную роль в нормальном функционировании человеческого организма, поскольку она ответственна за отвод белковой жидкости от кровяных капилляров.
В системе сосредоточено большое количество сосудов, вокруг которых группируются лимфатические узлы. Всего в теле человека более шестисот лимфоузлов, они представляют собой округлые образования розововато-серого оттенка.
Их основное предназначение – выступать в роли барьера для разнообразных вирусных инфекций.
Лимфатическая бронхо-легочная система
Стандартный размер лимфатического узла от 0,5 до 50 миллиметров, увеличение лимфоузла средостения означает начало воспалительного процесса в легких. Также причиной изменения размера лимфатического узла могут стать новообразования в щитовидной железе, гортани или ЖКТ.
Увеличенные лимфоузлы очень часто встречаются в корне легких, это самая распространенная патология, вызываемая туберкулезным бронхоаденитом, раком. В группу риска попадают заядлые курильщики. Также патология выявляется при переохлаждении и после длительного острого вирусного заболевания, сопровождающегося снижением иммунитета (например, бронхопневмония).
Лимфоузлы на шее
Увеличение лимфатических узлов при раке легких
Раковое заболевание проявляется в форме образования злокачественных опухолей, метастазы могут поразить абсолютно любой орган. Рак легких в 95% случаях поражает плевру и вспомогательные ткани, такие как лимфоузлы. Именно это заболевание чаще всего приводит к летальному исходу.
Рак легких
Выделяют четыре основные стадии, которые квалифицируются в зависимости от размера опухоли, ее распространения, наличия или отсутствия метастаз в соседних органах и тканях.
В первой стадии лимфатические узлы «не участвуют».
Увеличенные лимфоузлы легких на рентгене видны, когда болезнь переходит во вторую фазу, сначала «под удар» попадают бронхиальные, а на третьей стадии средостенные, бронхолегочные и надключичные узлы.
Симптомы увеличенных лимфатических узлов
Первыми симптомами заболевания становится острая боль в области грудной клетки, голос становится сиплым, возникает кашель, пациента часто мучают головные боли и шумы в ушах.
Становится проблематично принимать еду, на шее можно рассмотреть набухшие вены. На хронической стадии возможно появление отечности, учащенного сердцебиения, повышается потливость и ухудшается общее самочувствие.
Выделяют три основные фазы увеличения лимфатических узлов средостения:
- Острая;
- Хроническая;
- Рецивидная.
Последняя стадия связана с рецидивом заболевания.
Диагностика недуга
Для диагностики заболевания используют лабораторные анализы, бронхоскопию и рентгеноскопию, рентгенографию. Но видны ли лимфоузлы на рентгене? В нормальном состоянии нет, то стоит им увеличиться в размерах и рентгенолог без труда рассмотрит их на снимке.
Увеличение лимфоузлов средостения на рентгенограмме выглядит как «патологическая тень», с помощью обследования доктор может сделать заключение о размещении очага воспаления или новообразования, его форме, подвижности. Также рентген помогает определить, оказывает ли заболевание негативное воздействие на внутренние органы, расположенные рядом.
Увеличение лимфоузлов средостения
Увеличенные лимфоузлы на рентгене часто изображены в форме уплотнений, часто патология сопровождается увеличением корней легких.
Как лечить?
Рентген легких и лимфоузлов позволяет обнаружить патологию и начать своевременное лечение, пока болезнь не перешла в хроническую стадию. Тип терапии зависит от того, какой окончательный диагноз поставит доктор.
Саркоидоз лечится с помощью стероидных ингаляций. Для лечения туберкулеза потребуется много времени, в течение шести месяцев пациент проходит терапию в стационаре, а затем на протяжении восемнадцати месяцев лечится амбулаторно.
Обычно для лечения туберкулеза, как взрослым, так и детям назначается изониазид. При обнаружении новообразований доктор обычно назначает химиотерапию. При лимфоме средостения чаще всего помогает только консервативная терапия.
Рентген при туберкулезе
Широко используется антибиотик рифампицин, его пьют в течение месяца. Взрослым рекомендовано в сутки выпивать 0,45 грамм, детям – десять миллиграммов.
Увеличение лимфатических узлов средостения — это вторичный признак, поэтому окончательное лечение, как и последствия, зависят от поставленного диагноза.
Бесспорно, современная медицина творит чудеса, но даже она не всегда может помочь избавиться от болезни, если она запущена.
По этой причине при малейших подозрениях на проблемы со здоровьем следует обратиться в медицинское учреждение для прохождения комплексного обследования.
Источник: http://rentgenovski.ru/vidy/rentgen-limfouzlov
Лимфоузлы в легких увеличены: почему это происходит, лечение, прогноз, профилактика

Лимфатические узлы играют большую роль в борьбе организма с инфекциями. Их роль фильтровать вирусы и бактерии, прежде чем они приникнут в другие части тела. Образование инфицированных лимфоузлов происходит из-за воздействия на них вирусов или бактерий и является следствием основных заболеваний.
При этом могут увеличиваться лимфоузлы, которые находятся в легких, и выявляются они только путем рентгенографического исследования.
Причины увеличения
Хотя до конца не определены основания увеличения лимфоузлов в легких, но считается, что обычно они имеют бактериальный или инфекционный характер.
Такой процесс происходит в результате ответных причин на главное заболевание. Это происходит благодаря макрофагам, лимфоцитам, лимфатическим фолликулам, дендритам и другим защитным функциям лимфоидной ткани.
Кроме этого, есть сведения, что такая патология может носить наследственную предрасположенность. Эту проблему часто связывают с нарушенной защитной функцией иммунитета.
Также установлено, что воспаление и увеличение размеров лимфоузлов чаще встречается у людей определенных профессий, связанных с неблагоприятными условиями труда.
Проблема увеличения объема лимфатических узлов в легких связана с:
- пневмонией, которая вызвана стафилококком или стрептококком;
- туберкулезом лимфоузлов и легких;
- саркоидозом легких;
- волчанкой красной, поражающей легкие;
- бронхолегочными микозами, вызываемыми плесневыми и некоторыми другими видами грибков;
- альвеолитом аллергическим;
- силикозом и пневмокониозом (профессиональными заболеваниями дыхательной системы);
- онкологическими заболеваниями (параганглиома, аденокацинома, карциосаркома и др.);
- раковыми изменениями клеток костного мозга при лейкемии;
- возникновением метастазов в результате прогрессирования злокачественных новообразований в лимфатических узлах в области пищевода, средостения или в молочной железе.
Симптомы
Установить величину пораженных лимфоузлов, пострадавших вследствие других заболеваний, удается путем визуализации. Распознать симптомы такой проблемы удается только исходя из клинической картины обуславливающих их болезней.
В ходе обследования можно установить количество таких узлов, а также их месторасположение и характер процесса воспаления, гранулемы, некроз, инфильтрат и др.
Если у опухоли в лимфатическом интрапульмональном узле большой размер, то она в некоторых случаях вызывает набухание тканей, расположенных рядом, или становится причиной закупоривания сосудов лимфатический системы. При этом у таких пациентов начинается сухой кашель, специфическое дыхание (свистящей звук) и одышка.
Кальцифицированные увеличенные лимфоузлы, образующиеся при гистоплазмозе или туберкулезе, сжимают дыхательную трубку, затрудняют дыхание и провоцируют кашель, особенно в положении лежа. Это происходит, когда такой узел проникает также в трахею.
Лимфоузлы с гипертрофированной гранулематозной структурой, достигающие крупных размеров, могут провоцировать не только появление кашля, но и способствовать возникновению болевых ощущений за грудиной.
Сосуды лимфатических узлов (мелкие и крупные), расположенные в легких, согласно своим функциям, высасывают, а затем отводят белковую жидкость в кровообращение. Микроорганизмы, находящиеся в этой жидкости, проходя сквозь лимфатические узлы, могут спровоцировать патологические реакции организма.
В процесс воспаления при пневмонии вовлекаются лимфатические узлы средостения. При таком заболевании увеличиваются не только расположенные рядом лимфоузлы, но также и отдаленные (внегрудные).
Воспаление лимфоузлов в легких создает такую картину симптомов:
- постоянное ощущение усталости;
- депрессивное настроение;
- упадок сил.
На ранней стадии заболевания у таких пациентов отмечаются:
- частые повышения температуры тела;
- боль в суставах;
- ощущение озноба в теле;
- чувство сдавливания в грудной части туловища;
- неприятное ощущение в виде жжения в области лопаток.
Когда у человека имеется один или несколько симптомов, которые были указаны выше, это не означает, что у него увеличены лимфоузлы в легочной части дыхательной системы.
Многие из этих симптомов чаще вызывают другие проблемы со здоровьем. Однако, если какой-либо из этих симптомов беспокоит, необходим пройти консультацию у врача, чтобы определить причину, и начать лечения.
Диагностирование
Диагностирование увеличенных лимфатических узлов, сосредоточенных в легких – это прежде всего процедура инструментальная, требующая специального оборудования.
При этом применяется рентгенография, ультразвуковое исследование, компьютерная томография (КТ), магнитно-резонансная томография (МРТ), а также позитронно-эмиссионная томография (ПЭТ).
По итогам обследования в исключительных случаях назначается проведение биопсии лимфатического узла. Это делается при помощи эндоскопа, бронхоскопа или эксцизионного обследования для проведения иммуногистохимического изучения забранных изразцов измененных тканей.
По результатам биопсии можно точнее поставить диагноз и убрать сомнения по поводу возможного перерождения опухоли в раковую, если были выявлены патологические изменения в лимфоузле.
Кроме этого, с целью прохождения полного исследования пациент должен сдать кровь на анализ (общий, биохимический, на определение наличия антител и иммунный статус). Также проводят пробы на туберкулез и саркоидоз.
Процесс, воздействующий на лимфоузлы в легких, действует также на лимфатические узлы, расположенные рядом с бронхами и трахеей. Сложность их установления позволяет увидеть увеличение только путем рентгенологического исследования.
Но даже при этом не всегда удается полностью рассмотреть состояние узлов из-за ветвей легочных артерий или вследствие тени от сердца. Поэтому такое обследование проводят также в боковой проекции.
Лечение
Так как лимфатические узлы могут увеличиваться при различных видах заболеваний, то прежде всего лечение направлено на избавление пациента от главного заболевания. Убрать лимфоузлы в легких обособленно невозможно.
Если установлено, что главная причина такой проблемы связана с наличием бактериальной инфекции, то назначается курс антибиотиков. При микозах в бронхах и легких используют препараты противогрибкового действия.
Чтобы справиться с воспалительным процессом, могут назначаться лекарственные препараты из группы стероидных гормонов (кортикостероиды) или противоспалительные средства нестероидной группы. Обязательно во время лечения назначают прием витаминов А и Е.
Хирургический путь лечения используется в том случае, если патологический процесс вызвал дегенерацию тканей лимфоузлов и образовался абсцесс.
Если проведенным гистологическим исследованием уставлен злокачественный характер новообразований в лимфоузлах, используют химиотерапию, облучение, или оперативное вмешательство. В ходе операции проводится сегментэктомия, либо полное удаление пораженного узла.
При прогрессирующей форме воспаления лимфоузлов в легких могут произойти осложнения. При несвоевременном начатом лечении увеличивается риск возникновения туберкулеза, дыхательной недостаточности или эмфиземы.
Для лечения используют:
- стероидные лекарственные препараты (зачастую это Преднизолон);
- противовоспалительные лекарственные препараты;
- антиоксиданты;
- иммунодепрессанты.
В результате бактериальной инфекции в организме может начаться сепсис, который, прогрессируя, в некоторых случаях приводит к смертельному исходу. Поэтому лечение должно включать госпитализацию и внутривенное введение антибиотиков.
Прогноз
Прежде всего благоприятный исход заболевания зависит от своевременного выявления и начатого лечения. Течение заболевания и прогноз выздоровления при доброкачественном характере увеличенных лимфоузлов в большинстве случаев благоприятный.
Но при онкологическом развитии заболевания прогнозировать результат сложно. Также это касается продолжительности жизни таких больных.
Главное значения для благоприятного прогноза имеет своевременное выявление и лечение главного заболевания, вызвавшего увеличение лимфоузлов в легких, а также правильная организация труда и отдыха.
После перенесенного заболевания рекомендуется проходить наблюдение в медучреждении, чтобы исключить рецидивы заболевания.
Профилактические мероприятия
Так как увеличенные лимфоузлы в легких — это лишь диагностический признак и клиническое проявление других заболеваний, то отдельные профилактические меры от их появления не разработаны.
Рекомендуется вовремя обращаться к врачу за медицинской помощью в случае плохого самочувствия для того, чтобы своевременно установить диагноз и начать лечебные меры.
Следует при появлении отдышки или кашле обращаться к врачу для прохождения полного обследования и установления диагноза. После постановки диагноза или в качестве профилактики, рекомендуется проводить оздоровительные мероприятия легочных болезней.
Необходимо проходить профилактическое флюорографическое исследование не реже 1 раза в год. Кроме этого, не стоит пренебрегать рекомендациями поездки в санаторий, находящийся в хвойном лесу или на морском побережье.
Насыщенный солями воздух способен нейтрализовать инфекции, а также залечить очаги поражения в легких. Можно воспользоваться особыми соляными комнатами, созданными при санаториях.
Если нет возможности проводить отдых и профилактическое лечение в условиях курортной зоны, можно воспользоваться ионизатором воздуха или приобрести лампу из соли. Положительное действие на качественный состав воздуха оказывают приборы с функцией очищения и увлажнения воздуха.
В качестве профилактики возникновения увеличенных лимфатических узлов стоит отказаться от курения и употребления спиртных напитков. Алкоголь снижает иммунитет и способствует возникновению сахарного диабета, из-за чего организм становится восприимчивым к разного рода заболеваниям.
Источник: https://onkologia.ru/dobrokachestvennyie-opuholi/dyhatelnaya-sistema/limfouzly-v-legkih-uvelicheny/