Тест положительный, а УЗИ беременность не показывает — что делать

Появление полосочек на тесте на беременность подтверждает, что скоро женщина станет мамой.
Но бывает, что результаты теста и данные ультразвукового исследования, проводимого для подтверждения зачатия, расходятся. Какие анализы подтверждают беременность на 100%? Какова точность теста? Существуют ли альтернативные способы подтверждения беременности в домашних условиях? На эти и другие вопросы получите ответ из нашей статьи.
Какие существуют способы подтверждения беременности?
Для подтверждения зачатия используется несколько методов. Это домашний тест, который можно приобрести в обычной аптеке, анализ крови из вены на уровень хорионического гонадотропина человека, а также ультразвуковое исследование.
Эти методы обладают разной степенью достоверности и имеют свои особенности. Будущая мама часто точно знает дату зачатия, определяя ее по сроку овуляции.
Главный признак беременности — аменорея, или отсутствие менструаций, далеко не всегда говорит о зачатии. Месячные могут не начинаться и по другим, не связанным с вынашиванием плода, причинам. Если месячных нет и нет основания предполагать беременность, не стоит откладывать посещение кабинета гинеколога.
Домашний тест
Аптечный (он же домашний) тест — самый популярный способ, к которому прибегает каждая женщина, предполагающая, что забеременела.
Суть теста состоит в погружении в утреннюю мочу полоски, пропитанной специальным химическим составом, реагирующим на хорионический гонадотропин человека (ХГЧ), проявляющийся в моче. Этот гормон вырабатывается в организме только с наступлением беременности или развитием серьезных патологий (онкологических заболеваний).
Выработка гормона начинается не в момент оплодотворения, а когда оплодотворенная яйцеклетка прикрепляется к стенке матки. Чтобы ХГЧ проявил себя двумя полосками на тесте, нужно чтобы он накопился в организме. После зачатия его количество с каждым днем растет в геометрической прогрессии.
Тесты имеют разную чувствительность, а также различаются способами применения. Они делятся на классические полоски, пропитанные чувствительными к ХГЧ веществами, планшетные (индикатор помещен в корпус из пластика) и струйные. Самым достоверным считается струйный. Он не требует подготовки и использовать его можно где угодно.
Лабораторное исследование крови
Этот способ точнее, чем домашний тест. В крови хорионический гонадотропин обнаруживается раньше, чем его количество достигнет нужной концентрации в моче, на которую среагирует полоска-индикатор.
Сдавать кровь из вены в лаборатории можно на 3-5 день от начала задержки месячных или на 12-14 день от предполагаемой даты зачатия. Каждой неделе беременности соответствует определенный уровень гормона. В лаборатории результаты исследования представлены в виде таблицы значений, соответствующих каждой неделе беременности.
Гинекологический осмотр
На осмотре врач-гинеколог определяет наличие развивающегося плода по следующим признакам:
- Полнокровие органов малого таза. После зачатия в МТ усиливается кровоток, отчего половые губы, влагалище и шейка матки изменяют свой цвет. Они темнеют, становятся отечными.
- Изменение состояния матки. Небеременная матка плотная, имеет форму груши. После зачатия она становится округлой, мягкой, а ее размеры увеличиваются.
- Легкая возбудимость матки. При двуручном врачебном осмотре она легко сокращается, реагируя на действия специалиста, потом снова приходит в свое обычное состояние.
- Асимметрия матки. Одна сторона органа больше другого в зависимости от того, с какой из сторон произошло прикрепление эмбриона.
- Мягкая шейка. Шейка (перешеек) размягчается, ее ткани врач практически не ощущает при осмотре.
Признаки беременности, которые гинеколог видит на осмотре, проявляются на сроке 4-7 недель. Если предполагаемое «интересное положение» длится меньше 3 недель, визит к врачу лучше отложить.
Ультразвуковое исследование
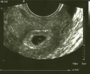
Аппарат УЗИ с высоким разрешением способен определить беременность на 5-6 день задержки месячных (это соответствует 3 неделям вынашивания плода). Ультразвуковое исследование на этом сроке фиксирует в полости матки крохотный бугорок размером 2-4 миллиметра. Это и есть растущий зародыш.
Определить, что это: складки эндометрия или растущий зародыш, под силу только специалисту высокой квалификации.
Подтверждение начала периода вынашивания малыша путем ультразвукового исследования проводится по желанию женщины или по показаниям.
Показания для раннего УЗИ:
- внематочное развитие плода в анамнезе женщины;
- осмотр гинеколога, не подтвердивший изменения в матке, характерные для беременности при отсутствии у женщины менструации.
На каком сроке УЗИ информативно
Современные аппараты ультразвукового исследования способны зафиксировать первые признаки жизнедеятельности малыша уже на 10-й день после зачатия. Для точного определения, есть ли плодное яйцо в полости матки, исследование проводится трансвагинальным способом. Также этот метод точно определяет, где именно закрепился плод: в матке или в одной из ее труб.
Даже если женщине не терпится узнать, беременна она или нет, чтобы посетить кабинет ультразвукового исследования придется подождать две недели от даты зачатия.
Оплодотворение яйцеклетки проходит в маточной трубе.
В течение первой недели своей жизни оплодотворенная яйцеклетка «добирается» до полости матки и прикрепляется к одной из ее стенок.
На первой неделе после зачатия ее не увидит ни чувствительный аппарат УЗИ, ни самый опытный и квалифицированный специалист.
К концу второй недели жизни яйцеклетки на ней появляются зародышевые листки, позволяющие специалисту отличить едва заметный бугорок на стенке от полипа.
Современная трансвагинальная ультразвуковая диагностика позволяет увидеть плодное яйцо в маточной полости на 3 неделе. На 4 неделе в яйце уже виден зародыш.
У 8-недельного зародыша уже четко видны туловище, голова и конечности. Частота сердцебиения плода равна 100 ударам в минуту.
В 11-13 недель специалист ультразвуковой диагностики может точно определить пол ребенка, а также оценить, как идет развитие плода.
Почему ультразвуковое исследование не показывает беременность — возможные причины
Иногда случается так, что женщина говорит врачу, делающему УЗИ: «Я беременна и хочу узнать точный срок», при этом исследование не показывает наличие плодного яйца.
Возможные причины отрицательного результата УЗИ:
- Женщина неправильно подсчитала сроки, не знает даты зачатия.
- Исследование проводилось «через живот», то есть датчиком, которым специалист водит по животу пациентки. Этот метод не так информативен, как трансвагинальный.
- Получение положительного результата теста и появление хорионического гонадотропина человека в крови иногда связано с патологическими процессами, не имеющими ничего общего с зачатием и вынашиванием плода.
- Внематочное прикрепление плода. На ранних сроках внематочной беременности слабо чувствительные аппараты не фиксируют сердцебиение малыша.
- Пузырный занос, или нарушение формирования эмбриона, вызывающее трофобластическую опухоль. Она развивается из-за врастания ворсин хориона в эндометрий. На месте врастания образуются наполненные жидкостью пузыри. Проявление этого заболевания схожи с «интересным положением», дают задержку менструаций, тошноту, повышение ХГЧ.
- Ошибки домашнего теста. Возможно, причина неудачного УЗИ не в погрешности работы аппарата или неопытности врача. Тесты часто дают неверный результат.
- Замирание развития плода. Бывает так, что развитие плода самопроизвольно обрывается, едва успев начаться. Женщина, сделав тест дома и выждав нужный срок, на ультразвуковом обследовании узнает, что плод замер. В скором времени у нее появляются коричневатые выделения, подтверждающие гибель зародыша.
Если беременность не видна на УЗИ (но при этом остальные признаки присутствуют) либо есть погрешности проведения исследования, рекомендуется повторить анализ через пару недель.
Что делать, если УЗИ не показывает беременность, но тест положительный — советует врач
С ситуацией, когда тест упрямо показывает две полоски, а УЗИ не находит малыша, сталкиваются многие будущие мамочки. Увидев две полоски (особенно, если одна проявляется явно, а вторая слабая) женщины чаще идут в кабинет УЗИ, чем в лабораторию для сдачи анализа крови.
Часто причина плохого УЗИ в том, что женщины, предвосхищая события, отправляются в кабинет ультразвуковой диагностики, когда яйцеклетка только совершает свое «путешествие» в маточную полость и ее не видно. В такой ситуации нужно успокоиться, набраться терпения и через пару недель, пройдя повторное обследование, получить заветный результат.
Если нет месячных и не наблюдается никаких других косвенных признаков наступившего зачатия (ухудшение состояния, тошнота, утомляемость, набухание грудных желез), не спешите идти в кабинет специалиста УЗИ.
Выждите одну-две недели с начала задержки, используйте несколько тестов. Если все они однозначно говорят «да», показывая две черточки, продолжайте сохранять спокойствие. Лучше выждать полторы-две недели, которые необходимы эмбриону для того, чтобы закрепиться в маточной стенке.
Даже если плод развивается вне матки, убедиться в этом наверняка можно в то же самое время, когда достоверно определяется маточное прикрепление плода.
Если состояние здоровья ухудшилось и в анамнезе у будущей мамочки уже была внематочная беременность, необходимо срочно посетить кабинет гинеколога.
Под руководством специалиста удастся справиться с любыми трудностями и неприятностями с минимальными рисками для здоровья.
Все купленные тесты по-прежнему «настаивают» на положительном результате, а УЗИ почему-то упорно их отрицает на повторном обследовании? В этом случае необходимо обследование на выявление патологий, вызывающих скачок ХГЧ, и их последующее лечение.
Не отбрасывайте и вероятность низкой квалификации специалиста по УЗ-диагностике. Нужно идти на УЗИ в другом месте или проводить его на другом аппарате. В любом случае, нельзя принимать решение о лечении патологий, медикаментозной чистке (если выявлена замершая беременность), или, уж тем более, о том, что зародыша нет, на основании только одного медицинского заключения.
При малейшем подозрении, что врач ультразвуковой диагностики не имеет должной квалификации и опыта, откажитесь от приема. Поищите другого специалиста.
В продолжение темы небольшой видеосюжет о том, когда нужно делать УЗИ для подтверждения зачатия:
Заключение
Врачи рекомендуют не проходить УЗ-диагностику раньше 8-10 дня от начала задержки месячных.
Современные аппараты способны подтвердить зачатие и в более ранние сроки. Но без повторного обследования, подтверждающего полученные данные, будущей маме все равно не обойтись.
АзбукаРодов советуют: Подписывайтесь на наш канал
Источник: https://zen.yandex.ru/media/azbukarodov/test-polojitelnyi-a-uzi-beremennost-ne-pokazyvaet--chto-delat-5b23be8e5a1a0800a853fa71
Плодное яйцо: что это такое, его роль в зарождении новой жизни

Когда яйцеклетка встречается со сперматозоидом, они сливаются в единое целое, чтобы стать источником новой жизни. Вокруг двух клеток – мужской и женской – появляется оболочка, защищающая их от внешних воздействий. Так получается плодное яйцо: внутри развивающийся зародыш, а снаружи – надежная защита.
Почему такое название
Яйцом назвали оплодотворенную яйцеклетку потому, что по форме и структуре она повторяет строение стандартного яйца:
- оболочка;
- амниотическая жидкость;
- желточный мешок;
- зародыш.
Со временем яйцо преобразуется внутри матки. Внешняя оболочка, называемая хорионом, имеет ворсинки, которые служат ей для закрепления на слизистой маточной оболочке. Позже из хориона получается плацента.
Амниотическая жидкость (аналог яичного белка) – это питательная среда, которую вырабатывает амнион, то есть внутренняя оболочка плодного яйца.
Желточный мешок – это тот пищевой питательный запас, которым при наступлении беременности яйцеклетка кормит будущего эмбриона. Он соединяется с зародышем в районе пуповины, и через маленький каналец передает питательные вещества зиготе.
Зародыш получается путем многократного деления оплодотворенной яйцеклетки – зиготы. Первый этап деления зиготы – это морула, которая имеет вид маленького шарика. Каждая клеточка морулы имеет свое предназначение. Из них будут развиваться ткани, а затем органы, после – системы органов малыша. Но это будет потом.
Пока же можно только рассмотреть на УЗИ, как внешне выглядит плодное яйцо.
Как происходит развитие плодного яйца
Зарождаясь в фолликуле, созревшая яйцеклетка проходит по трубе матки. Это время называется овуляцией. После того, как ее оплодотворит сперматозоид, она начинает делиться, становясь сначала зиготой, затем морула, а после – зародыш.
На первой неделе плодное яйцо имеет совсем небольшой размер. Оно движется по маточной трубе, чтобы закрепиться на стенке при помощи ворсинок внешней оболочки. В течение первых двух дней яйцо закрепляется, а матка закрывает доступ к нему при помощи слизистой пробки.
Так организм оберегает будущего ребенка от внешних инфекций.
Бывает так, что зародыш не смог прикрепиться по какой-то причине. Тогда с очередной менструацией он выйдет из полости. Очень часто женщине даже невдомек, что она была в шаге от беременности.
Если же зародышу удалось твердо укрепиться, его внешняя оболочка начинает выпускать в кровь будущей мамы хорионический гонадотропный гормон (ХГЧ), останавливающий менструации.
Срок, когда в плодном яйце появляется эмбрион, это третья неделя с момента оплодотворения. В это время он похож еще не на ребенка, а скорее напоминает просто полосочку в центре яйца.
А для того, чтобы рассмотреть само плодное яйцо, должно пройти целых 5 недель. Иначе говоря, если случилась задержка по причине беременности, то через неделю примерно можно отправиться на УЗИ, чтобы попытаться разглядеть зарождающуюся новую жизнь.
Как изменяются размеры плодного яйца?
В начале четвертой недели наступает то время, когда видно плодное яйцо на УЗИ. Правда, оно имеет совсем небольшой размер, всего 1 мм диаметром, зато обладает огромным потенциалом. При таком размере рассмотреть, как происходит развитие будущего ребеночка, никак нельзя, потому что размер эмбриона слишком мал.
Следующее обследование проводят через три недели после первичного. За этот срок происходят интересные метаморфозы с плодным яйцом. Если в начале четвертой недели оно было диаметром 1 мм, то уже через два дня утроит размер. К концу недели диаметр оболочки достигнет 5 мм, а у эмбриона начнут закладываться:
- сердце;
- легкие;
- печень;
- поджелудочная железа.
Сам эмбриончик будет длиной 1 мм.
Если УЗИ показало, что размер плодного яйца 7 мм, определить, какой это срок, несложно. Учитывая, что к первому дню 5-й недели оно вырастает до 6 мм, скорее всего, это будет середина пятой акушерской недели.
Что такое СВД
Молодых мам пугают странные аббревиатуры, которыми пользуются врачи. Кажется, что они что-то скрывают, прячась за непонятными сокращениями, когда общаются между собой. Не всякая женщина решится спросить, что такое СВД на УЗИ при беременности: она больше думает о том, что с ребеночком, чем старается запомнить сочетание букв.
Давайте устраним этот пробел. УЗИ диагностика – это метод, который используют врачи, чтобы наблюдать за развитием плодного яйца внутри матки.
При помощи УЗИ врач может точно определить время, когда из фолликула вышла созревшая яйцеклетка. Таким образом, устанавливается срок беременности женщины. В течение всего срока будущая мама проходит как минимум три обязательных УЗИ.Ультразвуковое исследование не наносит вреда зародышу. Звуковые волны даже на ранних сроках никак не влияют на развитие малыша.
Вначале исследуют, как развивается плодное яйцо и зародыш в нем. Чтобы оценивать развивающийся плод, проводят следующие измерения:
СВД – это показатель величины плодной оболочки яйца. Расшифровывается как средний внутренний диаметр. Пропорциональность роста плода и его оболочки влияет на правильность развития малыша.
КТР – это показатель роста эмбриона внутри матки. Параметр называется копчико-теменным размером. То есть, измеряют длину ребеночка от макушки до попки.
Измерения проводятся миллиметрами. Плодное яйцо – эластичная полость, размер которой постоянно меняется от того, в каком состоянии пребывает мама. Если она трудится, матка входит в тонус, а яйцо – сжимается. Как только мама расслабилась, оболочка принимает яйцеобразную форму.
Гораздо важнее исследовать показатели КТР. Плод внутри живота развивается, растет. Для того, чтобы точнее выяснить день зачатия ребенка, проводят измерения КТР зародыша. Они дают довольно точный ответ на вопрос о сроке беременности будущей мамы. Отклонение составляет плюс-минус три дня.
Исследование КТР ведется до 12-й недели с момента зачатия. За этот срок развиваются жизненно важные органы, а также системы органов ребеночка. Своевременное выявление патологий помогает вовремя провести корректировку течения беременности.
Показания к чистке
УЗИ позволяет увидеть некоторые патологии развития плода на раннем сроке, чтобы женщина имела возможность без вреда для собственного здоровья провести чистку. К ним относятся:
- пустое яйцо, в котором не развивается эмбрион;
- неработающее сердце плода;
- хромосомные мутации;
- внематочная беременность.
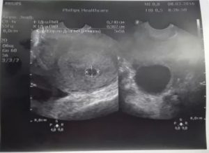
Кроме этого, врач может увидеть на мониторе не одно, а два яйца, закрепившихся на стенке матки. Это означает высокую вероятность рождения двойни.
Если яйца два, то малыши не будут похожими, так как развиваются каждый в своем яйце. А если оплодотворенная яйцеклетка разделилась, а потом каждая доля начала собственное развитие, – тогда родятся однояйцевые близняшки.
Как развивается плод в первые недели беременности
Чтобы будущая мама могла себе представить, как развивается ее малыш в матке, начиная с самого момента оплодотворения, ниже будет приведена таблица изменений размера плодного яйца. В ней по неделям будет описано, какие органы появляются у ребеночка, когда начинает стучать сердечко. Знакомьтесь.
| Недели | Что происходит | СВД, мм |
| 2 | закрепление на стенке маткиэмбрион начинает получать питание от маткипоявляются нервная, сердечно-сосудистая системы | не видно |
| 3 | формируются сосуды плаценты | не видно |
| 4 | появляются бронхи, легкиеформируется поджелудочная железа | 4 |
| 5 | быстрый рост хорды (позвоночника) ведет к появлению хвостапоявляются половые клеткидлина эмбриона составляет 1 мм | 6 |
| 6 | можно услышать, как бьется сердечконачинают формироваться ручки с ножкамиразвивается головной мозг, нервная системаотмечаются впадинки на местах глаз, носа, рта | от 11 до 18 |
| 7 | можно рассмотреть рот и носформируется половой бугорначинают появляться язык, хрусталики глаз, тонкий кишечник, почки | от 19 до 26 |
| 8 | оформилось сердценачинают развиваться веки, ушки, губки, носикмалыш начинает двигаться | от 27 до 34 |
| 9 | можно определить полпропадает хвостформируется ладошка с пальчиками | 35-43 |
| 10 | зарождаются волосыпоявляются ногтиПочти весь организм построен. | 43-50 |
| 11 | закладываются молочные зубки, пульпаокончательно формируются наружные половые органы | 50-60 |
Наблюдение за развитием желанного малыша приносит женщине радость. От того, что у мамы хорошее настроение, ее кровь наполняется эндорфинами, быстрее бежит по телу. Ребенок получает больше полезных веществ и в благодарность развивается еще лучше.
Плодное яйцо без эмбриона: что делать и почему это происходит?

Диагноз пустое плодное яйцо без эмбриона не редкость, он ставится в 5-10% случаев. Самым неприятным является то, что шансы выявить его причины минимальны. Чтобы запланированная беременность увенчалась успехом специалисты рекомендуют принимать мультивитаминные комплексы и вести здоровый образ жизни.
Так на УЗИ выглядит пустое плодное яйцо.
Почему это происходит?
Пустое плодное яйцо – это по сути беременность, которая не начала развиваться. Процесс развития прекратился еще до этапа формирования эмбриона. Причин такого нарушения достаточно много.
Любые негативные изменения в организме женщины могут его спровоцировать.
При постановке диагноза анэмбриония следует немедленно принять необходимые меры, так как это влечет за собой неизбежную гибель плода.
Среди основных причин пустого плодного яйца выделяют:
- Генетические нарушения.
- Инфекционные заболевания.
- Внешние факторы (состояние окружающей среды).
- Неправильный режим питания.
- Недостаток витаминов.
То есть в каждой конкретной ситуации определить причину образования пустого плодного яйца крайне сложно.
Генетические нарушения начинаются на первоначальном этапе деления клеток и влекут за собой последующие ошибки. Это может быть формирование лишних хромосом либо наоборот, их неполного набора.
В таком случае превращение яйца в эмбрион не происходит, организм женщины это понимает и начинает его отторгать.
По статистике из 100 женщин у 5-10 нет эмбриона в плодном яйце.
Как проявляется анэмбриония?
На первоначальном этапе пустая беременность заметна не будет. Ее невозможно определить даже с помощью гинекологического осмотра.
Нарушения становятся видимыми уже на самой крайней стадии, когда организм начинает отторгать плод.
На данном этапе наблюдаются боли внизу живота, коричневые выделения из влагалища и резкий запах — и это уже признаки плодного яйца без эмбриона который организм начал отвергать.
Как меняется ХГЧ при пустом плодном яйце?
Контроль динамики показателя ХГЧ – один из способов определения пустого плодного яйца. Значения ХГЧ будут меняться, но значительно меньше, чем при нормальном течении беременности. Также возможен вариант, когда значения показателя ХГЧ стоят на месте – это основной признак существования проблем с развитием плода.
Обязательно посмотрите это полезное видео:
Симптомы пустой беременности не отличаются от обычной: это задержка менструации, проявления токсикоза, постоянное чувство усталости.
На ранних сроках крайне сложно выявить пустое плодное яйцо. Так как размеры эмбриона очень малы и его можно просто не заметить. Только по прошествии 5 недель, появляется возможность определить отсутствие плода.
Узи диагностика
Только на шестой неделе беременности пустое плодное яйцо можно диагностировать с помощью УЗИ. Оно проводится в любом случае, чтобы определить месторасположение плода, а также исключить внематочную беременность.
Такой страшный диагноз, как анэмбриония женщина может услышать даже если чувствует себя хорошо и у нее нет никаких симптомов.
Первый триместр беременности это наиболее важное время формирования плода, на данном этапе будущей маме стоит особо тщательно следить за своим здоровьем, так как угроза выкидыша очень высока.
В этом видео показано УЗИ пустого плодного яйца:
Если у женщины обнаружено пустое плодное яйцо без эмбриона потребуется сделать медицинскую коррекцию (очищение матки).
Что делать при анэмбрионии?
Если был поставлен такой неутешительный диагноз, нужно будет сделать коррекцию. Медицинская коррекция возможна с помощью двух способов.
Хирургический метод
Это наиболее распространенный вариант коррекции. Такой способ позволяет почистить полость матки без последствий. При хирургическом вмешательстве используется общая анестезия. Операция проходит очень быстро от 10 до 25 минут. Доктор должен выскоблить маточный слой и пустое плодное яйцо. Уже через пару часов женщина может отправляться домой.
Медикаментозный аборт
Аборт с применением специальных препаратов может быть использован, если срок беременности составляет меньше 6 недель. Женщина принимает лекарство и ждет когда начнутся схватки. Это больно. Вся процедура происходит в больнице под контролем врача. После того, как из матки выйдет все лишнее, женщина должна провести в больнице пару дней до того, как закончится кровотечение.
Чтобы уточнить причину нарушения развития беременности материал, полученный из матки в процессе чистки, отправляют на гистологическое исследование. Такое исследование должно выяснить причины прекращения развития эмбриона и когда именно он прекратил свое развитие.
После аборта нужно делать УЗИ.
При завершении любого из двух методов аборта нужно сделать УЗИ. Таким образом, можно удостовериться, что матка чистая и в ней не остались частички плодного яйца.
Профилактика
Проблему лучше предотвратить, чем решать ее последствия. Если обнаружено пустое плодное яйцо, то принимаются уже крайние меры. Но если при планировании беременности руководствоваться некоторыми рекомендациями, то можно снизить вероятность развития патологий.
Уменьшить риск формирования пустого плодного яйца можно следующими способами:
- обоим супругам пройти полное медицинское обследование (сделать анализы, УЗИ, проконсультироваться с гинекологом и терапевтом, чтобы исключить хронические заболевания, также рекомендуется посетить узких специалистов);
- по рекомендации специалиста начать прием мультивитаминов, в том числе фолиевой кислоты. Курс витаминов следует начать принимать за 2-3 месяца до зачатия;
- при подготовке к беременности следует отказаться от вредных привычек: употребления алкоголя, курения. Пересмотреть свой режим питания, рацион: наполнить его продуктами богатыми витаминами и минералами.
Краткий итог
Стоит заранее договориться с акушером-гинекологом, который будет вас консультировать на протяжении всей беременности. Важно понимать, что единичный случай пустого плодного яйца – это еще не приговор.
Это абсолютно не означает, что у кого-то из партнеров существуют нарушения в репродуктивной системе.
Главное не расстраиваться и продолжать попытки забеременеть (после анэмбрионии за продолжение рода можно браться через полгода), тогда все обязательно получится.
Не забывайте писать комментарии. Расскажите о своем опыте, задавайте вопросы. Делитесь этой статьей в своих социальных сетях. Не забывайте ставить оценку. Спасибо за посещение.
Источник: https://ekobesplodie.ru/zachatie/plodnoe-yajtso-bez-embriona-chto-delat-i-pochemu-eto-proishodit
Когда на узи видно плодное яйцо, на каком сроке беременности — Сайт о методах диагностики организма

В настоящее время при первых подозрениях на беременность сразу же после аптечного теста на присутствие ХГЧ в моче женщины торопятся пройти ультразвуковое исследование, чтобы врач подтвердил признаки развивающейся беременности.
Всегда ли можно установить наличие беременности, поставить срок гестации и обнаружить аномалии в развитии плода на ранних сроках?
Какие виды УЗИ применяют для установления срока беременности
Для установления наличия и срока беременности врач проводит трансвагинальное УЗИ. Этот доступ позволяет лучше рассмотреть полость матки, достовернее измерить размер и оценить структуру плодного яйца.
Помимо визуализации самого плодного яйца врач обязательно оценивает все внутренние органы репродуктивной системы у женщины: матку, шейку, яичники, а также мочевой пузырь.
У худых женщин на ранних неделях плодное яйцо иногда бывает видно и с помощью трансабдоминального доступа.
Трансабдоминальное УЗИ
Начиная с 11-12 недели беременности строение плода, срок беременности и признаки нормального развития оценивают обычно с помощью трансабдоминального УЗИ.
Как можно определить срок беременности по эхографическому исследованию?
На раннем сроке с 4 по 6 недели срок беременности устанавливают по диаметру плодного яйца. Для этого врач проводит измерение диаметра плодного яйца по его внутреннему контуру в 3 взаимоперпендикулярных плоскостях.
4 неделя беременности на УЗИ. Многоплодная беременность.
Нормальные значения копчиково-теменного размера (КТР) в зависимости от срока гестации (полные недели + дни), данные в миллиметрах, нижняя граница – 5-й перцентиль, верхняя граница – 95-й перцентиль.
На каждом определенном этапе развития в его строении появляются новые органы и структуры. Зная эти особенности врач может увидеть соответствует ли развитие плода возрастным нормам.
На какой день после задержки стоит делать УЗИ?
Трансвагинальное УЗИ покажет плодное яйцо в полости матки, когда наступят 4,5 – 5,0 недель беременности. Стоит отметить, что врачи считают продолжительность беременности с первого дня крайних месячных.
То есть не стоит сразу же торопиться на УЗИ, если задержка менструаций составляет 1 – 2 дня. Эхография может показать первые признаки гестации только спустя 3 – 5 суток задержки от даты ожидаемых месячных.
Почему врач УЗД может не видеть зародыш
Вполне частой ситуацией является когда тест на беременность положительный, и женщина в этот же день идет на УЗИ, но врач при этом не видит беременности в полости матки. Почему такое может быть?
Яйцеклетка оплодотворяется сперматозоидами в фаллопиевых трубах, и оплодотворенная постепенно продвигается по ним к матке в течение нескольких суток. Примерно к 4 неделе от первого дня последней менструации зародыш достигает полости матки и имплантируется в эндометрий.
У некоторых женщин овуляция и соответственно оплодотворение происходит позже середины цикла, поэтому и зародыш достигает полости матки немного позже. В таком случае на УЗИ можно еще не увидеть признаки плодного яйца в матке, хотя тест на беременность будет положительным. В этой ситуации врач назначает повторное УЗИ через 7-10 дней.
Установлено, что при уровне ХГЧ в крови менее 1000-1200 МЕ/л плодное яйцо еще не видно на УЗИ. Его можно увидеть, когда ХГЧ достигает 1500-2000 МЕ/л.
Другой уже опасной ситуацией, из-за какой зародыш может быть не видно, является внематочная беременность. Плодное яйцо может локализоваться в трубах, полости живота. И если его размеры малы, врач не сможет увидеть его с помощью ультразвука.
Когда уже можно увидеть плодное яйцо
Примерно спустя неделю после оплодотворения зародыш попадает в полость матки и начинает имплантироваться в ее слизистую оболочку – эндометрий.
В это время размеры плодного яйца пока еще очень малы, и разрешающая способность ультразвукового сканера не позволяет врачу увидеть признаки зародыша.
Через две с половиной недели после зачатия, то есть на четвертой – пятой акушерской неделе беременности, врач уже начинает видеть плодное яйцо в полости матки с помощью трансвагинального УЗИ.
Какие показатели используют для измерения на ранних неделях
В ранние сроки, как и при стандартном гинекологическом УЗИ, измеряют размеры матки, яичников, шейки матки.
Специфическими показатели, которые обязательно определяются в первом триместре являются:
- диаметр плодного яйца (с 4 по 6 неделю);
- копчико – теменной размер (с 7 по 14 неделю);
- диаметр желточного мешка;
- размер желтого тела в яичнике.
Беременность 7 недель
Какие бывают аномалии плодного яйца
В первые недели гестации по разным причинам могут возникать отклонения в созревании плодного яйца, которые в некоторых случаях приводят к угрозе или гибели плода.
Среди таких патологий с помощью ультразвукового обследования могут быть обнаружены следующие:
1. Аномалия прикрепления. В норме для благоприятного развития беременности зародыш должен имплантироваться в дне или средней трети полости матки. Если он прикрепляется в области нижней трети или внутреннего зева, то высок риск выкидыша.
2. Изменение формы плодного яйца. В норме оно имеет округлую конфигурацию. Вытянутая форма чаще всего является следствием повышенного тонуса матки и также угрожает выкидышем.
Деформированное плодное лицо
3. Инфицирование плодного яйца. Проявляется трансформацией его формы на круглую и появлением в его полости взвеси.
4. Неразвивающаяся беременность. Она проявляется прекращением роста зародыша, исчезновением или деформацией в нем желточного мешка после 6 недели, отсутствием эмбриона после 7 недели, отсутствием сердцебиения у эмбриона, отсутствием динамики развития при контрольном исследовании через 7 дней.
Неразвивающаяся беременность по типу гибели эмбриона
Причинами отсутствия развития могут быть гормональная недостаточность, инфекции половых путей, грубые хромосомные аномалии эмбриона и другие.
5. Анэмбриония. Проявляется отсутствием эмбриобласта в полости яйца после 6 недели беременности. При этом плодное яйцо продолжает увеличиваться в размерах и наполняться жидкостью.
Эта аномалия является критерием неразвивающейся беременности, но требует контрольного исследования через несколько дней, так как в редких случаях здоровый эмбрион начинает визуализироваться позже положенного срока.
Анэмбриония на УЗИ
6. Трофобластическая болезнь. Характеризуется развитием доброкачественной опухоли внутри плодного яйца. Причиной такой аномалии чаще всего являются воспалительные изменения в эндометрии.
Трофобластическая болезнь
7. Многоводие. Это повышенное накопление околоплодных вод в амниотической полости. На ранних сроках оно может привести к отслойке плаценты и смерти эмбриона.
Польза раннего обследования
Ультразвуковое исследование является неотъемлемым методом диагностики, когда у акушера-гинеколога возникают подозрения на наличие у женщины каких-либо осложнений беременности. УЗИ помогает при подозрениях на внематочную беременность, угрозу прерывания, выкидыш, замершую беременность.
В ранние сроки с помощью УЗД устанавливают точный срок беременности, число плодов, их жизнеспособность и наличие грубых аномалий развития.
Когда на УЗИ можно увидеть плодное яйцо в матке и почему его бывает не видно
Когда на УЗИ становится видно плодное яйцо в матке, беременность считается подтвержденной. Но при этом нельзя гарантировать, что она будет протекать нормально. Требуется сделать еще несколько исследований — по одному в каждом триместре.
Описание плодного яйца
Плодное яйцо — это защитные оболочки, окружающие зародыш. Они прикрепляются к стенке матки, образуя с ней сосудистую связь. Через сосуды растущий зародыш получает питание из материнской крови. Плодное яйцо на УЗИ выглядит, как округлое образование темно-серого цвета.
Оно становится видным, когда достигает размера 5 мм. Это соответствует 4 неделям беременности. Эмбрион внутри яйца пока не виден. Его можно рассмотреть после 35-го дня, выглядит он как темная полоска. Части его тела можно увидеть на 12 неделе беременности — в этот срок обычно и проводят первое обследование.
Методики исследования
УЗИ на ранних сроках беременности предпочтительнее делать трансвагинальным способом. Датчик вводится через влагалище, проходит до шейки матки.
С помощью этого способа беременность точно подтверждается в сроке 28 дней. Второй метод — трансабдоминальный. Осмотр проводят через переднюю брюшную стенку.
Таким способом пользуются, когда плод уже достаточно большой, его хорошо видно при наружном осмотре.
При любом виде исследования врач осматривает маточные трубы и яичники. В яичниках можно увидеть желтое тело. Оно образуется на месте лопнувшего фолликула, из которого вышла яйцеклетка. Если произошло оплодотворение, желтое тело вырабатывает гормон прогестерон, который обеспечивает сохранность беременности.
К просмотру видеосюжет про беременность на раннем этапе, рассказывает врач-гинеколог:
Сроки проведения обследования
Первое УЗИ назначают, когда женщина приходит в женскую консультацию для постановки на учет. Обычно это срок 10-12 недель, при наличии положительного ХГЧ-теста. Тогда в матке уже можно обнаружить плодное яйцо вместе с эмбрионом, выявить патологии развития. Сделать УЗИ можно и раньше, оно обнаружит зародыш на 14-20 день после задержки менструации.
Второе плановое обследование делают на 20-22 неделе. Здесь можно выявить пороки развития плода. Последний осмотр проводят за 14-21 день до родов, чтобы определить положение плода, готовность женщины к родам.
Внеплановые исследования назначают женщинам с предполагаемыми или имеющимися патологиями развития плода. УЗИ назначают после ЭКО, чтобы определить, прижились ли эмбрионы. После переноса эмбрионов обследование проводят через 21 день.
Почему на УЗИ не видно зародыш
Иногда случается так, что УЗИ не показывает наличие плодного яйца в полости матки. При этом тест на беременность положительный. Причин этому может быть несколько.
- Слишком раннее обследование. Даже современный аппарат не может определить беременность через несколько дней после зачатия. Эмбрион в это время имеет микроскопические размеры. Нельзя увидеть оплодотворенную яйцеклетку, пока она продвигается в полость матки.
- Внематочная беременность. Случается так, что яйцеклетка встречается со сперматозоидом, находясь в маточной трубе. Тогда прикрепление плодного яйца произойдет там, врач не сможет найти его внутри полости матки. Поэтому при УЗИ осматривают не только матку, но и трубы с яичниками.
- Технические погрешности. Обычно возникают, если осмотр проводят на старом или неисправном аппарате. Также ошибиться может специалист при недостаточной квалификации или внимательности. Такие ошибки наблюдаются на ранних сроках, когда зародыш еще очень маленький.
Источник: https://vdp6.ru/prochee/kogda-na-uzi-vidno-plodnoe-yajtso-na-kakom-sroke-beremennosti.html